
一、疾病概述:四环素是由金霉素催化脱卤生物合成的抗生素,毒性低,早在1948年即开始用于临床。1950年,国外有报道四环素族药物引起牙着色;其后又陆续报道四环素沉积于牙齿、骨骼以至指甲等,而且还能引起釉质发育不全,在这方面,国内直至70年代中期方引起注意。

二、病因病理:在牙齿发育矿化期间服用四环素族药物,如四环素、土霉素、金霉素、支甲金霉素,还有强力霉素等,可被结合到牙组织内,使牙着色,呈黄棕色或者深灰色。
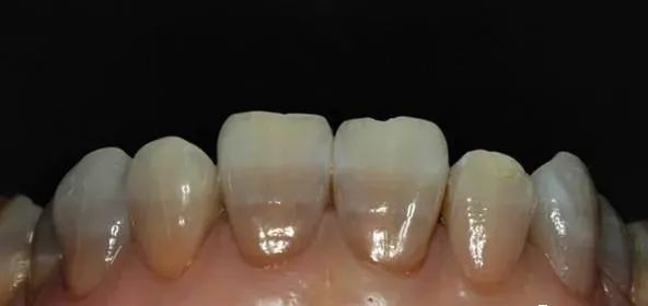
三、临床表现:1.呈黄色,在阳光照射下则呈现明亮的黄色荧光,以后逐渐由黄色变成棕褐色或者深灰色。这种转变是缓慢的,并能为阳光促进,所以切牙的唇面最先变色。2.前牙比后牙着色明显;乳牙着色又比恒牙明显,因为乳牙的釉质较薄、较透明,不易遮盖牙本质中四环素结合物的颜色。
3.牙着色程度与四环素的种类、剂量和给药次数有关。一般认为,缩水四环素、去甲金霉素、盐酸四环素引起的着色比土霉素、金霉素明显。在恒牙,四环素的疗程数与着色程度正比关系,但是一个短期内的大剂量服用比长期给服相等的总剂量作用更大。4.四环素引起牙着色和釉质发育不全,都只在牙齿发育期给药才能显现出来。一般来说,在六至七岁后再给药,则不致引起令人注目的牙变色。
四、治疗:1.可见光复合树脂修复法可参照氟牙症的处理,但只能磨去唇侧釉质0.1mm或者不磨牙,因为四环素着色主要在牙本质,若磨去过多釉质层或者甚至牙本质外露,不仅加重底色,且严重影响粘接牢固性。对于四环素着色严重的牙齿,由于着色效果差,用该法也难以令人满意。
2.脱色法可适用于不伴有釉质缺陷者,可分外脱色法和内脱色法两种。①外脱色法:清洁牙面,用凡士林涂龈缘;将浸过30%过氧化氢液的吸药纸片贴敷于前牙唇面,与龈缘应留有少许距离;红外线或者白炽灯照射十分钟;一疗程共五至八次。实验证明:外脱色法不能使牙本质上已着色的荧光带减弱,但肉眼观察牙色却有所改善,一般在半年至一年后牙色又可复原。由于高浓度过氧化氢液,可使釉质酸蚀脱矿,呈白垩色,降低了釉质原有的透明度,使已着色的牙本质反映度降低;随着时间的推移,釉质再矿化;透明度增加,色泽又复原,此即所谓色泽反跳的重要原因。
②内脱色法:即为脱色目的而行牙髓摘除术,按常规行牙髓摘除术后,将根管充填物降低至颈下2-3mm,脱色时在髓室中封入30%过氧化氢液或者30%过氧化氢液与硼酸钠调成的糊剂。每三天换药一次,共约四至六次;当色泽满意时,用复合树脂充填窝洞。此法能有效地去除或者改变原来结合在牙本质中的四环素含量,荧光水平明显降低,临床效果非常满意。对因职业关系,迫切要求美观而又不伴有釉质缺陷者,可使用此法。它的缺点是使活髓牙成为无髓牙,近期疗效虽可靠,其远期疗效尚待观察。
③全瓷冠或者烤瓷冠。④烤瓷冠。
注:详细请咨询专业牙医后决定。
傅氏口腔丹溪门诊:丹溪北路18号雪峰银座201室 预约电话:0579-85557255
傅氏口腔万达门诊:义乌市总部经济园A6幢201室 预约电话:0579-85557538
傅氏口腔儿牙中心:丹溪北路18号雪峰银座204室 预约电话:0579-89906639
客服:万达门诊18757954754(微信同号)
丹溪门诊17348813315(微信同号)
义乌傅氏口腔门诊部(丹溪门诊)医广号:浙医广〔2026〕第330782-0017号
义乌傅氏口腔门诊部(万达门诊)医广号:浙医广〔2026〕第330782-0016号