
漫长的矫正期相信很多人都是靠着“我会越变越好,我的牙齿会越来越漂亮,矫正完我就能拥有一口明星范的整齐洁白的牙齿”的信念来激励自己坚持下去!牙齿不好,通过矫正想要让它得到提升这本来是一件很好的事情。但如果矫正完成后取下牙套牙齿竟然变成这样,相信很多人可能会想哭。

牙齿排齐了,但是牙齿也坏了!是不是因为我年龄大了不能矫正牙齿?是不是牙医把我的牙齿整坏了?虽然产生这种疑问是很正常的,但小编想要告诉您,真正出现这种情况的确实很大可能是您没有好好刷牙,造成牙齿脱矿!
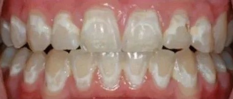
一、牙齿为何会脱矿?
牙齿上这种白色斑点被称为龋白斑,是因为牙齿表面牙釉质上的矿物质流失了,导致牙釉质脱矿的表现。牙齿表面的最外一层是牙釉质,当我们的牙齿没有及时清洁干净,牙菌斑就会在牙齿表面堆积。

当我们吃东西的时候,食物里面所含的糖分遇上牙菌斑里的细菌,细菌简直是欣喜若狂。因为细菌可以利用糖来释放侵蚀牙齿的物质--酸,这些酸会使牙釉质脱矿。所以,牙齿的脱矿是因为牙齿没有得到清洁,被糖与细菌的共同侵蚀所带来的后果。
二、矫正牙齿为什么会造成脱矿?
在矫正牙齿过程中,不可避免的必须佩戴固定矫治器,而正畸过程中由于口腔内多了矫治装置,这个时候如果还依照平日的清洁习惯就会遗漏许多不易清洁的地方,因此就会造成牙齿脱矿。
三、牙齿出现了白斑脱矿有什么危害吗?
我们从牙齿表面看白斑,只是颜色有变化,但在显微镜下观察,牙齿的表面下方已经偷偷改变了坚实的结构,这是牙齿发生蛀牙的噩梦起源。牙齿出现脱矿后,如果处理不好就很容易发展成龋齿。轻度脱矿是可逆的,早期脱矿只是牙齿颜色的改变,形态没有缺损。
通过一些医学上的修复处理,脱矿情况可以得到抑制,牙齿也能恢复健康。而龋齿是不可逆的,一旦牙齿出现了龋齿,那么就只能修补或者拔除,牙齿再也不能恢复自然健康了。换句明白话:“脱矿就是牙齿发出信号(脱矿牙齿:亲,你再对我不好,我就发展成蛀牙给你好看;蛀牙:当初脱矿就是警告你,让你对我好一点,结果你不听,哼!)”
四、那我们在牙齿矫正过程中如何预防脱矿?我们需先下手为强!
1.注意保持口腔卫生:一定要记得早晚刷牙,还有牙线,跟刷牙是好伴侣,双剑合璧,可以将残留在牙齿间隙的残留物及时清理出去,避免对牙齿造成侵蚀。2.注意饮食调养:常吃对牙齿有益的食物,比如:大米、豌豆、蚕豆等,这些食物含磷量高,可以形成缓冲系统,防止口腔过度酸化,有保护牙齿的作用,防止已经脱矿的牙齿加重。3.节制饮用碳酸饮料:比如可乐或者那那种运动型的饮料,里面含有多种机酸,而这些有机酸能分解钙质,进而侵蚀到牙齿,造成牙齿脱矿。
五、如果已经出现了牙齿脱矿的问题应该怎么办?
1.涂氟:牙齿涂氟就是用一种含氟的物质,对每一颗牙齿表面进行氟化处理,氟化物是一种能使牙齿重新矿化,从而变得坚硬、不容易被酸腐蚀的物质,因此牙齿涂氟能够对早期牙齿脱矿问题进行有效修复。牙齿涂氟必须去牙科,医生对牙齿做严格、彻底的清洁后,才可以涂氟。使用含氟牙膏与牙齿涂氟的原理相似,每日使用含氟牙膏,也是能够防治脱矿、预防龋齿的有效措施。
2.使用护牙素:除了使用含氟牙膏,以及涂氟这样的常用手段,作为新兴产品,护牙素也是防治脱矿,预防龋齿的有效措施。这类护牙素因为安全性很高,适用于各年龄段人群的龋齿预防:婴幼儿和孕妇、正在矫正牙齿的成人、刚做过牙齿漂白手术的人、牙齿容易敏感的人等(不过对于牛奶蛋白过敏的人群或者特殊敏感的人禁用)。
最后,小编提醒您,有什么口腔问题要及时找正规口腔医疗机构能够少踩很多抗!!
傅氏口腔丹溪门诊:丹溪北路18号雪峰银座201室 预约电话:0579-85557255
傅氏口腔万达门诊:义乌市总部经济园A6幢201室 预约电话:0579-85557538
傅氏口腔儿牙中心:丹溪北路18号雪峰银座204室 预约电话:0579-89906639
客服:万达门诊18757954754(微信同号)
丹溪门诊17348813315(微信同号)
义乌傅氏口腔门诊部(丹溪门诊)医广号:浙医广〔2026〕第330782-0017号
义乌傅氏口腔门诊部(万达门诊)医广号:浙医广〔2026〕第330782-0016号