
以前大吃大喝加上没有太注意清洁牙齿,然后突然有一天发现,牙齿竟然烂了一个小小小洞。这个应该没事吧?错!这可能是个大问题!
一、从浅龋到深龋。
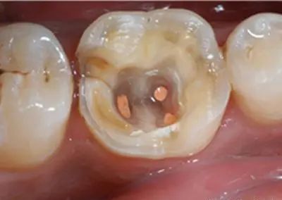
通常蛀牙有三种阶段,各位可以对号入座。
第一阶段:牙齿咬合面有黑线,大牙一般最常见,说明开始蛀牙了,牙釉质被细菌龋坏,但不痛不痒,会出现窝沟龋得及时补牙,而不是去洗牙。
第二阶段:牙齿出现小黑洞,说明引起中度蛀牙,细菌腐蚀来到牙本质,伴随着牙齿敏感,黑色腐败物其实就是细菌的产物,这时候还可以再补牙。
第三阶段:牙齿超过一半烂掉,说明已经重度蛀牙,细菌伤及牙髓牙神经,还伴随着剧烈疼痛,牙神经病变这时得根管治疗处理,挽救伤痕累累的牙齿。

二、怎样逃过根管治疗这一劫?
前面就讲过了,当蛀牙刚刚萌发的时候进行治疗,只需要简单补牙就可以解决了;但当蛀牙侵害到牙髓和神经,就不得不根管治疗了。所以,如果蛀牙刚刚开始就被发现,就可以及时治疗,简单修复便无大碍了。
但是蛀牙初期发生的时候往往不会有任何感觉,如果你已经感觉到酸楚或者疼痛了,可能已经晚了,这个时候就不得不进行根管治疗,耗时耗力又费钱了。我们如何才能避免这样的情况发生呢?很简单,定期的口腔检查就可以解决问题了。

建议,至少六个月或者一年到专业的口腔机构做一次系统的口腔检查。在蛀牙的初期就把问题修复,就不会发展到需要感染神经的地步,这样既不用吃苦也不用花更多钱。
三、难道根管治疗真的会很痛吗?
一般医生会给你局部麻醉,清除根部坏死的牙髓,抽出牙神经后就不会那么痛,但有些牙齿根部长得歪,这时抽神经的难度较大,所以麻醉过程中效果不是很好,而插根管的数量得看牙齿具体位置,前面的牙齿一至两根,像大牙这种就得三至四根,插得越多难度就会增加。

四、根管治疗为什么会那么贵?
首先根管治疗是分牙位的,也就是说将全口牙齿分为三类:前牙、前磨牙和后磨牙这三类。前牙治疗因为简单所以价格也是最低的,前磨牙其次,后磨牙因为牙根复杂并且操作不方便,所以价格最贵。

另外针对于后磨牙来讲,通常后磨牙会有三到四个牙根,但是牙根里面的神经可能会有多根,正常的后磨牙根管治疗是指治疗三根神经的费用,如果这个牙齿的神经数量超过三根那么每多出来一根就要加收一根神经的费用。
另外如果该牙齿之前曾经做过根管治疗,但是没有治疗彻底导致牙齿再次发炎,那么第二次做根管治疗的话费用要比第一次贵,主要是因为第二次治疗难度更大。
傅氏口腔门诊成立于1993年,是市医保定点单位;由傅恭悌医生领衔创建,医疗团队全部由经验丰富的医生和口腔专科护士组成,专注为客户提供涵盖颜面美学、口腔健康学的全方位一体化医疗服务。
经过近三十年的发展,傅氏口腔已在丹溪北路与万达总部经济园开设门诊。傅氏以种植、正畸为核心特色,并同时设有儿童齿科、微创牙周、牙体牙髓、 美学修复等诊疗科室。严格执行消毒灭菌管理制度。先进的口腔诊疗设备,以及标准化口腔四手操作,为您的诊疗安全提供完善的保障。
傅氏口腔丹溪门诊:丹溪北路18号雪峰银座201室 预约电话:0579-85557255
傅氏口腔万达门诊:义乌市总部经济园A6幢201室 预约电话:0579-85557538
傅氏口腔儿牙中心:丹溪北路18号雪峰银座204室 预约电话:0579-89906639
客服:万达门诊18757954754(微信同号)
丹溪门诊17348813315(微信同号)
义乌傅氏口腔门诊部(丹溪门诊)医广号:浙医广〔2026〕第330782-0017号
义乌傅氏口腔门诊部(万达门诊)医广号:浙医广〔2026〕第330782-0016号