
拥有一口大白牙的小仙女、小鲜肉们的日常拍照姿势都是美美哒!但是,你们有没有试过看自己牙齿的其他地方,是不是也一样白白的呢?
最近,不好啊小伙伴私信小编,称经历了各种冷热酸甜吃吃吃,牙齿也跟着痛痛痛。照镜子时才发现牙齿咬合面上,不知道什么时候出现了一条条的黑线……

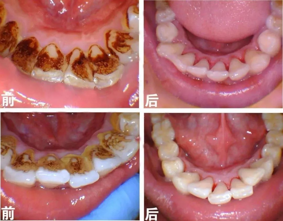
这几条黑线是什么呢?这样的牙齿是不是要完了?别急,小编慢慢给你分析。牙齿咬合面出现黑线一般有两个原因:单纯的色素沉着和蛀牙。色素沉着往往都是由于刷牙不彻底导致的,通过洗牙可以轻松去除。
黑线去除前后对比。

如果洗牙去不掉这些黑线的话,那就特别要重视了,因为这些黑线很可能是早期蛀牙的表现。它的发展主要有三个阶段:
1、牙齿表面形成黑线,初步形成蛀牙。

2、牙本质腐蚀,龋坏进一步加深,形成龋洞。

3、龋坏影响牙髓,出现明显的疼痛,龋洞更大。

如果任由其自生自灭,牙齿出现明显黑线时大概两年会开始烂,再烂个三年后整颗牙齿就会只剩牙根,不得不拔除。
那么面对这样的窝沟龋我们应该怎么办呢?当然是要第一时间向专业的口腔医院求助,医生会帮助判断蛀牙深浅,如果是浅一点的蛀牙补一下就可以。
如果蛀牙蛀的比较深累及牙神经了,那么就需要先进行根管治疗之后才能补牙做烤瓷牙或者全瓷牙。总而言之能保留的牙齿还是尽量保留,万不得已才会考虑拔牙。
除此之外,还建议大家每天早晚要用正确的方式好好刷牙,每次三分钟,晚上刷完牙之后不要吃东西,白天吃完午饭或者零食之后都要漱口。然后每年和体检一样也定期做口腔检查,尽早预防。
傅氏口腔门诊成立于1993年,是市医保定点单位;由傅恭悌医生领衔创建,医疗团队全部由经验丰富的医生和口腔专科护士组成,专注为客户提供涵盖颜面美学、口腔健康学的全方位一体化医疗服务。
经过近三十年的发展,傅氏口腔已在丹溪北路与万达总部经济园开设门诊。傅氏以种植、正畸为核心特色,并同时设有儿童齿科、微创牙周、牙体牙髓、 美学修复等诊疗科室。严格执行消毒灭菌管理制度。先进的口腔诊疗设备,以及标准化口腔四手操作,为您的诊疗安全提供完善的保障。
傅氏口腔丹溪门诊:丹溪北路18号雪峰银座201室 预约电话:0579-85557255
傅氏口腔万达门诊:义乌市总部经济园A6幢201室 预约电话:0579-85557538
傅氏口腔儿牙中心:丹溪北路18号雪峰银座204室 预约电话:0579-89906639
客服:万达门诊18757954754(微信同号)
丹溪门诊17348813315(微信同号)
义乌傅氏口腔门诊部(丹溪门诊)医广号:浙医广〔2026〕第330782-0017号
义乌傅氏口腔门诊部(万达门诊)医广号:浙医广〔2026〕第330782-0016号