
矫牙前没有拍片
简直都没法好好矫牙了
为什么?请看
▼
拍片取模,矫前必备的四大件
拍片取模虽说是简单的过程,但是它们的作用却一点都不简单。
矫牙前的诊断和定位,是会直接影响整个矫治效果!想要安全、放心、完美的矫牙,就不能放过这四大件!
是缺!一!不!可!
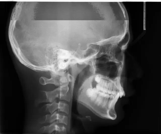
X线头型测量片
让医生了解到牙颌颅面的发育情况,将诊断从表面观察,深入到对整个骨骼的判断。做到精准定位、测量、制定矫治计划。
全口曲面断层片
看似复杂,用人话说就是口腔牙齿的X光片。
牙医通过对这张片的分析,能找出潜藏的牙周疾病问题、牙根发育等情况。通常是否拔牙、拔哪个牙、怎么拔,就是靠它了!
面部口腔拍照
矫牙前,牙医会对你的口腔牙齿,包括正面、两侧、上下牙列;
人像正面、正面微笑图、侧面图的留影。详细记录矫治前患者的面部比例、口腔状况。当你矫治完之后再看到这些,你会惊叹自己所发生美的改变!
石膏牙模
取牙模是矫前的最后一步,模型要求清晰完整,连口腔的粘膜转折都要印模清晰。
即100%还原您的口腔的真实状况,牙医在上面耐心做各种精密的测量,来制定精准的矫正计划。
当然,还有一个浪漫的意义,等您矫完之后,让牙齿前后有个对比留念哦!
有时候别以为看上去很好,感觉不到疼痛,就代表自己的口腔很健康。
什么龋齿、牙周病这些小妖都是很会潜伏的,如果矫牙之前没有把他们都消灭干净,他们就会逐个冒出来,破坏你的矫牙大计,慢慢毁掉你的牙齿。
所以,没有理清楚这些问题,你就敢随便矫牙?
Too young too simple!
矫牙没有大概,没有可能,只有专业!矫前拍片,是必选项!
傅氏口腔丹溪门诊:丹溪北路18号雪峰银座201室 预约电话:0579-85557255
傅氏口腔万达门诊:义乌市总部经济园A6幢201室 预约电话:0579-85557538
傅氏口腔儿牙中心:丹溪北路18号雪峰银座204室 预约电话:0579-89906639
客服:万达门诊18757954754(微信同号)
丹溪门诊17348813315(微信同号)
义乌傅氏口腔门诊部(丹溪门诊)医广号:浙医广〔2026〕第330782-0017号
义乌傅氏口腔门诊部(万达门诊)医广号:浙医广〔2026〕第330782-0016号