
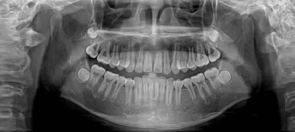
全景片是什么?全景片就是可以在一张胶片上可以完整、清晰地显示上颌骨、下颌骨全貌,上下颌牙列情况,牙槽骨情况能清晰显示上颌窦腔、窦壁、窦底情况,以及颞颌关节情况并对颌骨周围疾病的诊断提供帮助。

因为全景片可以确定测定牙齿倾斜角度、牙周软组织情况、牙根情况、牙槽骨质情况,解剖形态的精确测量为医生术前的诊断分析与设计提供全景样图像依据,口腔医生借此能更好地为患者设计治疗方案。
为什么医生总让人拍口腔全景片?
拍摄全景片是口腔治疗之前很重要的一个检查过程,医生通过全景片可以观察到牙齿的健康状况,是否有隐形龋齿、埋伏阻生牙、多生牙、牙槽骨吸收、牙龈萎缩、口腔内是否有瘤体等。在做牙齿种植、牙齿矫正、牙齿修复、智齿拔除等之前均需要拍摄口腔全景片。

拍全景片到底有何用?
①牙齿的解剖结构、密度,牙周状况的检查。②埋藏牙定位及周边相邻关系判断。③牙齿发育情况判断。④牙齿矫正前的病例分析、测量,指导矫正方案的制定。⑤种植前牙槽骨的质、量的评价及种植体大小、长短的确定。
⑥牙列缺失复杂修复前基牙的评估。⑦头面部外伤、骨折的诊断。⑧根管充填、镶牙、种植、矫正效果的复查、评估。⑨智齿拔除等外科手术方案制定和风险评估。⑩头、面部肿瘤、囊肿的筛查,鉴别。
这有几种常见情况!
①早期邻面龋:很多早期邻面龋表面上不容易看出来,只是吃冷的食物过敏或者牙缝变暗,医生检查时也会探查无手感,这时就只有拍全景片才能发现。
②埋伏阻生牙:智齿俗称尽头牙,一般长在牙槽骨里,有的正常萌出,有的埋伏在牙槽骨里部分萌出或者完全没有萌出。所以,拔除智齿需要拍全景片,医生才能看清楚牙齿长势、牙根位置以及和面部神经的距离!
③儿童多生牙:正常人会长28~32颗恒牙,超过了32颗多长出来的恒牙就叫“多生牙”。“多生牙”不仅会占不属于它的位置,有时还赖在“窝”里不肯出来,让其他恒牙无法正常萌出以及造成牙列不齐。有时多生牙隐蔽的很好,表面上是看不出来的,因此一定要定期带孩子拍片检查。

拍片的机器可不是随随便便的!那得是……
①最小的X光照射量确保患者安全。②多级速度功能控制升降。③根据患者口腔结构可选多种拍摄模式,确保影像质量。④全程语音提示,患者更安心(可选中、英、韩等多国语言)。⑤内置小巧储物盒,存放方便存放零散物件,更可存放患者私人物品(首饰、眼镜等等)。
⑥八类拍摄模式:成人全景、儿童全景、前齿拍摄、左侧拍摄、右侧拍摄、TMJ张口、TMJ闭口、上颌窦。⑦口腔全景片是口腔医院检查中十分重要的常规检查手段,主要用于检查、分析、判断病情,帮助医生及时、正确的诊断,进而引导治疗工作。
傅氏口腔丹溪门诊:丹溪北路18号雪峰银座201室 预约电话:0579-85557255
傅氏口腔万达门诊:义乌市总部经济园A6幢201室 预约电话:0579-85557538
傅氏口腔儿牙中心:丹溪北路18号雪峰银座204室 预约电话:0579-89906639
客服:万达门诊18757954754(微信同号)
丹溪门诊17348813315(微信同号)
义乌傅氏口腔门诊部(丹溪门诊)医广号:浙医广〔2026〕第330782-0017号
义乌傅氏口腔门诊部(万达门诊)医广号:浙医广〔2026〕第330782-0016号