
牙齿是人体上最坚硬的组织,但它不像我们身体上的其他的组织坏了能自行修复。牙齿若是坏掉了,如果不及时把坏的地方修补上的话,牙齿不会自行愈合的。牙齿坏的时间长了,一定会坏到牙齿的神经,一定会让你痛得睡不着觉。像那种面积较大的龋坏和特殊部位的龋坏,进行补牙也不耐用,现在,有另外一种补牙方法--嵌体。

“嵌体顾名思义就是一种嵌入牙体内部的修复方法是为牙齿量身定做的修复体,通过黏合剂将其黏在有缺损的牙齿上。”由于嵌体在形态、硬度等各方面与牙齿吻合度很好,所以,它不仅解决了牙齿缺失部分容易变大的难题,也减轻了患者频繁补牙的痛苦。
嵌体的优势主要有以下七点!
1、牙体预备量较少,能够保持牙齿外形的完整,减少牙髓刺激。
2、牙体预备过程中,容易去净牙齿龋坏部分,保持牙齿长期健康。
3、边缘位于龈上自洁区,可高度抛光,不易附着菌斑,易清洁,利于牙周组织的健康。
4、保持牙齿薄壁弱尖和隐裂,防止牙齿折裂和纵折。
5、邻面龋坏造成的缺损,能正确的恢复邻面接触点的部位,大小、松紧等。
6、其中瓷嵌体和树脂嵌体具有更好的美学修复功能。
7、嵌体的另一个优势是因为它的整个制作过程是在口外完成的,所以它还可以很好的恢复原来牙齿的外形,恢复原来牙齿的咀嚼效率,而这一点是传统补牙方法无论如何都无法比拟的。

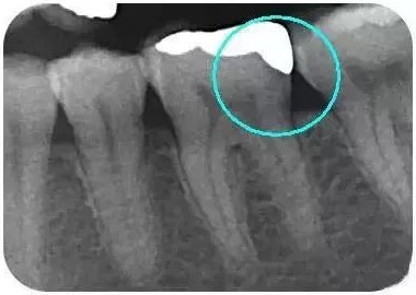
从下面这张X线片中可以看出,嵌体远中边缘没有悬突,与牙体边缘密合相接。

那么,你为何不来试一试呢?这些嵌体在最终戴入患者口内的时候都是非常完美的,在使用上没有任何的影响和不适,而且坚固耐用。
傅氏口腔丹溪门诊:丹溪北路18号雪峰银座201室 预约电话:0579-85557255
傅氏口腔万达门诊:义乌市总部经济园A6幢201室 预约电话:0579-85557538
傅氏口腔儿牙中心:丹溪北路18号雪峰银座204室 预约电话:0579-89906639
客服:万达门诊18757954754(微信同号)
丹溪门诊17348813315(微信同号)
义乌傅氏口腔门诊部(丹溪门诊)医广号:浙医广〔2026〕第330782-0017号
义乌傅氏口腔门诊部(万达门诊)医广号:浙医广〔2026〕第330782-0016号