
牙齿有什么问题是可怕的,智齿、龋齿、牙齿不齐?都不是!毕竟这些牙齿问题都是可以通过治疗修复的。对于大多数人来说,牙龈萎缩才是恐怖的。因为牙龈萎缩很可能是终身的,那么我们需要怎么预防和改善这么可怕的牙龈萎缩呢?
首先我们需要认识到:一旦牙龈萎缩了,想修复很难!很多人都觉得牙龈萎缩是口腔疾病的一种,事实上并不是,牙龈萎缩是牙周疾病一种常见症状,严格意义上来说不能算是一种疾病的名称,很多人出现牙龈萎缩症状后,都会疑问:牙齿为何会牙龈萎缩呢?
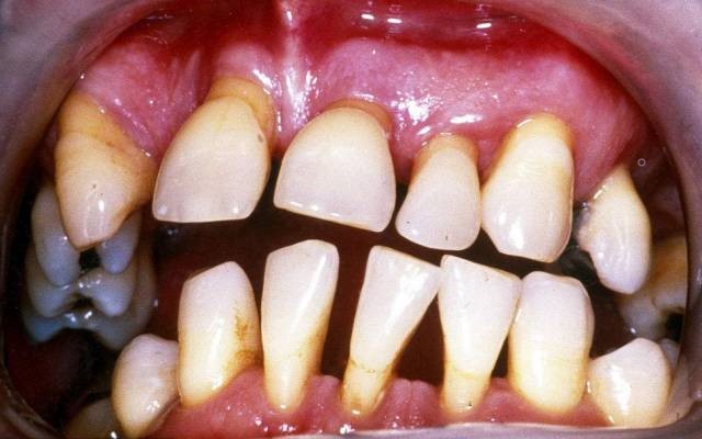
一、什么是牙龈萎缩?
牙龈萎缩,它指的是牙根部位的牙龈退缩,将牙根暴露出来,所以你的牙齿会看起来越来越长。要注意,牙龈萎缩是不可逆的,很难完全恢复。牙龈萎缩在老年人中比较常见,但是这并不是说成年人和幼儿、青少年不会牙龈萎缩,现在越来越多的年轻人已经开始出现牙龈萎缩问题,所以我们要从自身引起重视。
二、牙龈萎缩的具体表征。

1、炎症性牙龈萎缩:炎症性牙龈萎缩是最常见的,原因一般是牙周炎导致牙周组织遭到破坏引起萎缩,使附着在牙槽骨上的牙龈也随着向牙根方向萎缩,多发生于有牙周炎的人。
2、机械性牙龈萎缩:机械性牙龈萎缩主要是由于牙刷不符合标准,采用不正确的刷牙方法(如横刷法),不良修复体等机械摩擦或者压迫牙龈,造成牙龈和牙槽骨受损退缩,此类牙龈萎缩多发生于一组牙齿或者个别牙齿。
3、废用性牙龈萎缩:废用性牙龈萎缩一般是由于牙齿没有了咀嚼功能,牙周组织缺乏功能性刺激,处于长期废弃状态,这时候就会渐渐使牙龈,牙槽骨吸收,导致牙龈萎缩,这和比如一个人因病长期卧床,导致肌肉萎缩是一个道理。

4、老年性牙龈萎缩:老年性牙齿萎缩一般多发生于老人,主要是由于年龄增长发生,是一种正常生理现象,随着年龄增长,人体各个器官功能都在逐渐衰退,老年性萎缩一般表征为大部分或者全口牙齿的牙龈和牙槽骨发生萎缩。
5、早老性牙龈萎缩:和老年性牙龈萎缩一样,但多发生于较年轻的青年人,也就是说年轻人也会出现老年人牙龈萎缩的症状,所以称为早老性牙龈萎缩。据最新的一项调查发现,早老性牙龈萎缩主要是由于生活或者饮食环境的污染以及服用某些药物导致牙龈过早萎缩。
三、牙龈萎缩要怎么预防保健?
我们首先要清楚的认识到:牙龈退缩是不可逆的,所以我们重点应该放在预防上,防患于未然!
1、首先要进行定期的口腔保健:建议每半年到一年洗一次牙,这是预防牙龈炎症的有效措施,对于已经有牙周症状的人,应及时接受系统牙周治疗。

2、要掌握正确的刷牙方法:推荐使用软毛牙刷,牙膏以含氟牙膏为佳,其中含的摩擦剂应该粗细合适,同时要学会正确的刷牙姿势,建议采用竖刷法或者短横颤动法,日常尽量使用牙线以清理牙刷难以到达的位置。
3、切记不要贪图便宜和方便:在一些技术水平不保证、操作不规范,存在安全隐患的小诊所处理口腔问题,这也是产生诸多后续口腔隐患的原因之一。
4、日常自我筛检,发现异常及早就医:如有觉得自己有个别牙齿发生异常移动,应该及时到正规口腔医疗机构检查,以便对症处理。早发现、早诊断、早治疗,避免牙龈退缩加重。5、注意日常饮食:尽量不要食用含糖量很高的食物,比如饮料、糕点等,尤其是不要在临睡之前吃这些食物,很容易让食物在牙齿中停留,滋生细菌。
傅氏口腔丹溪门诊:丹溪北路18号雪峰银座201室 预约电话:0579-85557255
傅氏口腔万达门诊:义乌市总部经济园A6幢201室 预约电话:0579-85557538
傅氏口腔儿牙中心:丹溪北路18号雪峰银座204室 预约电话:0579-89906639
客服:万达门诊18757954754(微信同号)
丹溪门诊17348813315(微信同号)
义乌傅氏口腔门诊部(丹溪门诊)医广号:浙医广〔2026〕第330782-0017号
义乌傅氏口腔门诊部(万达门诊)医广号:浙医广〔2026〕第330782-0016号