
牙缝又称牙间隙,是牙齿与牙齿之间的自然间隙。牙齿与牙齿之间正常情况下是有缝隙的,只不过正常的牙间隙由牙龈组织充满覆盖。牙缝太大影响美观、工作、生活和事业中不能给自己带来足够的自信,想要立足赚钱只怕也不是很容易的一件事情,牙缝太大嵌塞食物引起牙龈炎症和牙周疾病也是一件很头疼的事情。
一、牙缝太大的成因。
1、龋齿(虫牙):牙齿的邻面有龋坏,造成牙齿之间的间隙增宽。2、智齿:倾斜生长方向的智齿与前面磨牙之间形成一定的间隙,导致牙缝过大。3、嵌塞食物:牙齿长期嵌塞食物,食物嵌入牙间隙,压迫牙龈组织,可发生牙龈的炎症性退缩,进而加大牙缝。4、牙齿移位:移位的牙齿埋伏于门牙牙根之间,从而导致门牙间隙过宽。
5、牙瘤、埋伏牙:上颌前牙之间是牙瘤、埋伏牙的常发部位,通过X线片可以确诊。6、牙龈萎缩:机械刺激、不正确的刷牙方式、牙龈炎症和牙周疾病时,牙龈很容易发炎、出血,持续的牙龈炎症引起牙龈萎缩,牙龈的高度降低,牙缝就越来越大。7、矫正治疗:在牙齿正畸矫正治疗过程中,牙齿由于位置需要重建形成暂时性间隙,在治疗结束之后,医生会关闭间隙。
8、牙周炎:牙周炎患者的牙槽骨吸收,导致牙齿松动而引起间隙过大,多数成年人都患有牙周病,牙周病进展缓慢,多为牙龈炎发展而来,偶有刷牙出血外并无多少自觉症状,一般容易引人注意,牙龈炎发展到一定程度即为牙周炎,此时可出现严重口腔异味,牙周反复脓肿,牙齿松动,牙缝越来越大,越来越稀疏,严重者牙齿脱落。
9、唇系带附离过低:发育性生理原因造成正中门牙缝隙过宽的常见原因,唇系带在胚胎时期相当粗大,出生后会渐趋退缩,如不退缩且在牙床门之间附着过低,就会引起上门牙之间缝隙过宽。及时请医生在局部麻醉下将唇系带附着处切开,两颗正中门牙便会逐渐地自动向正中靠拢。如果不能够自行向正中靠拢,可以通过牙齿矫正,使牙齿慢慢移动到正常整齐的位置来缩小牙缝。
10、多生牙:上颌门牙之间的唇、腭侧是多生牙的多发部位,多长出的畸形牙齿,严重影响正常恒牙的生长排列,导致上门牙间隙增宽。11、乳、恒牙不正常的更替:恒牙已经长出而乳牙未有按期脱落,这个时候容易形成牙齿间隙或者牙齿倾斜,应该及时的直接拔除滞留的乳牙。12、乳牙牙缝过大:儿童乳牙期、换牙期新长出门牙缝过宽是一种正常现象,将来的恒牙比乳牙个体大、数目多,恒牙更替完毕即可封闭空间,相反,乳牙的牙缝太过密合,将来宽大的恒牙长出来时空间不够,会造成牙列不整齐。

很多人认为洁牙造成牙缝变大,所以总认为还是少洁牙为妙,其实这是一种极端错误的想法。洁牙后觉得牙缝增大了很正常,但很多人以为是洁牙造成的。其实,由于牙龈退缩,牙根外露,牙缝已经存在,只是这些牙缝平时有牙石覆盖,感觉不到,洁牙后,牙面和牙间隙中的污物被清除,才发现牙缝增大,感觉不太适应,有的甚至还有明显的酸疼感觉,这种感觉会存在一段时间才能消失,如果牙垢牙结石长期得不到清除,会刺激牙龈进一步的萎缩,牙根暴露更多,缝隙更大。

二、牙缝过大的处理方法及注意事项!
1、尽早拔出生长不正常的智齿,消除倾斜智齿与前面磨牙之间形成一定的间隙,有利于保护磨牙。2、养成良好的口腔卫生习惯,来不及或者不方便刷牙时,可用清水或者茶水漱口代替,以保持口腔清洁卫生。3、定期的洁牙保健:洁牙是预防牙龈炎症、牙周疾病的有效措施,三个月到半年一次的定期洁牙是维护口腔卫生最有效的办法。4、掌握正确的刷牙方法:选择软毛牙刷、含氟牙膏,必要时使用牙签、牙线以清理牙刷难以到达的位置,保持好口腔卫生。
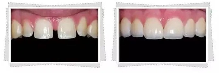
5、正畸治疗关闭牙缝:将金属正畸托槽粘贴于牙面上,利用正畸治疗的方法关闭缝隙,恢复整个牙列的牙弓形态,时间会相对比较长一些。6、不良修复体或者假牙不易清洁,会导致口腔卫生不良,也会使牙龈萎缩,不要图方便和便宜,去一些技术水平不高、操作不规范的诊所就诊镶牙,这也是产生不良修复体的主要原因。7、积极治疗牙周疾病:牙龈、牙周组织疾病可以造成牙龈退缩,从而形成两牙之间有缝,建议积极进行牙周疾病系统治疗,特别是有牙龈出血、个别牙齿松动、移位的情况,应及时到医院检查,以便对症处理。

8、适当使用牙间刷:牙齿排列不齐或者有牙周病、退行性病变导致牙龈萎缩而暴露牙根时,牙间就会形成明显的牙缝,很容易嵌塞食物,这种情况下用牙缝刷比牙签强。9、养成使用牙线的习惯:硬质、劣质牙签极易损伤牙龈,最好是用牙线代替牙签。柔软的牙线能够顺利通过牙齿的生理缝隙,不会损伤人的牙齿,可以很好地清除牙缝间的食物残渣和污垢。
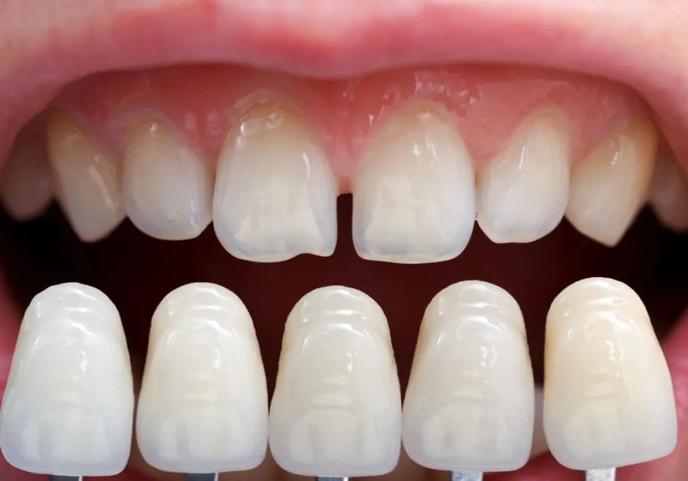
10、烤瓷牙修复牙缝大:牙齿排列不整齐并且牙缝比较大,在成年人已经过了生长发育期,可以考虑烤瓷牙冠修复恢复正常牙齿外形,关闭牙缝隙。
傅氏口腔丹溪门诊:丹溪北路18号雪峰银座201室 预约电话:0579-85557255
傅氏口腔万达门诊:义乌市总部经济园A6幢201室 预约电话:0579-85557538
傅氏口腔儿牙中心:丹溪北路18号雪峰银座204室 预约电话:0579-89906639
客服:万达门诊18757954754(微信同号)
丹溪门诊17348813315(微信同号)
义乌傅氏口腔门诊部(丹溪门诊)医广号:浙医广〔2026〕第330782-0017号
义乌傅氏口腔门诊部(万达门诊)医广号:浙医广〔2026〕第330782-0016号