
“烂牙根”?多大点事?反正又不痛,还要费心管它?殊不知这颗“烂牙根”就如同埋在口腔里的“定时炸弹”,随时准备 “爆炸”!
1、“烂牙根”怎么来的?
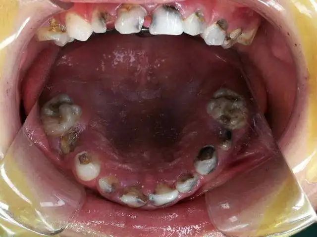
蛀牙是形成“烂牙根”的主要原因,对口腔卫生不重视,容易造成口腔细菌滋生,由刚开始的“小黑点”到形成浅浅的龋洞。若放任不管,牙齿龋坏继续发展,之后牙神经坏死、牙齿变脆、牙体硬组织就会逐渐脱落,慢慢仅剩下残根!这时,再不理不睬,“烂牙根”会引发大问题!

2、“烂牙根”等于定时炸弹?
1.残根易引起创伤性溃疡:残根不规则、外形尖锐,易造成邻近牙龈、口腔粘膜软组织损伤,形成创伤性溃疡,若不及时处理,持续性的不良刺激有可能导致溃疡恶变,形成口腔癌。
2.残根长期存在会引起根尖炎症:残冠、残根、牙齿髓腔就暴露于口腔的有菌环境之中,细菌可以通过根管而到达根尖,形成根尖周围炎,若不及时处理,可进一步发展成为根尖周肉芽肿甚至根尖囊肿,从而对颌骨形成更大的损害。
3.易嵌塞食物,细菌繁殖影响口腔健康:长时间嵌塞食物,会令残根残冠的位置成为细菌滋生繁殖地,从而形成感染源,容易引发牙龈炎、牙周炎等口腔疾病。

3、“烂牙根”要不要拔?
牙冠没了,留着牙根“发芽”吗?既然危害那么大,要不要拔掉?“烂牙根”是否需要拔掉取决于患者的牙根情况。对于残根,口腔医生以保留、治疗、恢复牙齿形态和功能为原则,如果牙根条件差、不能保留的再进行拔掉。

1.如果牙根有保留价值,经过完备的根管治疗后,在牙根上进行牙齿修复,也就意味着这颗保住的牙齿,可以继续给牙槽骨进行生理性刺激,可以避免牙槽骨的吸收和牙齿的松动、脱落。
2.如果经过口腔医生综合判断后,残根已经毫无保留价值,就需要尽快拔掉,要选择正确的方法修复缺牙,以及早恢复牙齿形态和功能。
4、缺牙如何修复?
1.活动假牙修复:用周围的牙齿作为支撑,利用金属卡环固定假牙;异物感特别强,易脱落,随着牙槽骨萎缩等口腔环境的改变一般过几年就需要更换或调整。
2.固定冠桥修复:即烤瓷牙,需要缺牙的左右两颗邻牙做基牙通过搭桥的方式修复缺牙,不仅要磨损健康的邻牙,还由于缺失部位没有实体牙根两侧的牙齿在咀嚼中需分担缺失部位的力量长期使用,对健康牙齿的影响较大。

3.种植牙修复:利用外科手术将人工材料(钛合金、纯钛等)制成的种植体植入到牙槽骨内,使种植体和牙槽骨形成牢固的骨性结合能迅速恢复牙齿的使用、美观功能种植牙被誉为继乳牙、恒牙后人类的第三副牙齿无需磨损邻牙、咀嚼功能完整与自然牙无异、维护得当陪伴终身是目前口腔医学界公认首选修复方式。
傅氏口腔丹溪门诊:丹溪北路18号雪峰银座201室 预约电话:0579-85557255
傅氏口腔万达门诊:义乌市总部经济园A6幢201室 预约电话:0579-85557538
傅氏口腔儿牙中心:丹溪北路18号雪峰银座204室 预约电话:0579-89906639
客服:万达门诊18757954754(微信同号)
丹溪门诊17348813315(微信同号)
义乌傅氏口腔门诊部(丹溪门诊)医广号:浙医广〔2026〕第330782-0017号
义乌傅氏口腔门诊部(万达门诊)医广号:浙医广〔2026〕第330782-0016号