
“为什么我的下巴看起来有点短小?我一笑起来就露出牙龈是怎么回事?”“感觉自己的面型不太好看,不知道是不是牙齿的原因?”你可能忽略了一个问题深覆合(压合),相较于“地包天”,“天包地”---深覆合真的是“安静”。
深覆合指的是上前牙切缘盖过下前牙牙冠长度1/3以上,或者下前牙咬合于上前牙舌侧1/3以上,也就是“在垂直方向上,上下门牙重合的部分超过牙长的1/3”了。

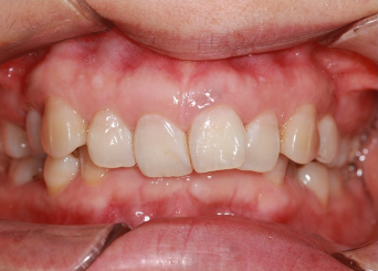
从正面来看,似乎下门牙被上门牙遮住了很多,甚至完全露不出来。这是一种前牙及前牙槽高度发育相对或绝对过度,后牙及后牙槽高度发育相对或绝对不足导致的错颌畸形,简单来说就是“前牙太长了,后牙太短了”。
一、造成深覆合的原因有哪些?
常见的原因有:①遗传,上颌骨或者下颌骨的发育问题;②后面磨牙的倾倒、锁颌或者过度的磨耗。使得垂直距离降低了;③不良的口腔习惯;④乳磨牙早失。
露龈笑不只是不好看,还影响牙齿咬合,露龈笑会让人的颜值大打折扣,但是,它的危害又不仅仅是影响美观这么简单。有这种错颌畸形的人群正面看面部呈凸面型,自然状态下双唇不能闭合,开唇露齿,可能还会出现一笑就露牙龈的现象。

侧面看,下巴可能会后缩,更加重了嘴凸的情况。除了美观,深覆合还会大大增加颞下颌关节紊乱、颈椎融合等疾病发生的可能性,严重的还可能出现上气道的狭窄。
二、深覆合要怎么办呢?
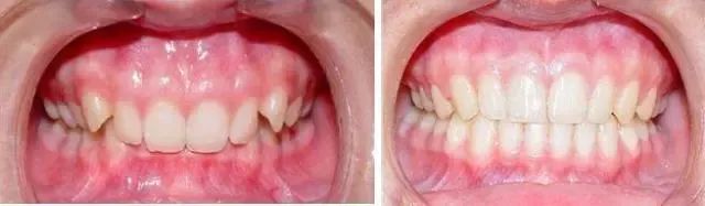
一般来说,深覆合可以通过牙齿矫正来解决,通过压低前牙或者升高后牙使牙齿建立正常的咬合关系。在接受牙齿矫正后,很多深覆合的问题得以解除或者改善。在矫正后,牙齿建立了正常的咬合关系,也不怕咬破自己的上牙龈。

如果你发现牙齿因深覆合出现了牙齿磨损、咬破上牙龈、关节损伤等等,或者你怀疑自己也有深覆合,不要慌,还有救!先找正畸医师检查看是否还能进行矫正,早发现早治疗。
傅氏口腔丹溪门诊:丹溪北路18号雪峰银座201室 预约电话:0579-85557255
傅氏口腔万达门诊:义乌市总部经济园A6幢201室 预约电话:0579-85557538
傅氏口腔儿牙中心:丹溪北路18号雪峰银座204室 预约电话:0579-89906639
客服:万达门诊18757954754(微信同号)
丹溪门诊17348813315(微信同号)
义乌傅氏口腔门诊部(丹溪门诊)医广号:浙医广〔2026〕第330782-0017号
义乌傅氏口腔门诊部(万达门诊)医广号:浙医广〔2026〕第330782-0016号