
老吴最近去看了一次牙医,结果却让他陷入绝望……从不牙疼的老王被告知满口已经没有一颗好牙了。事情还得从过年时那次尴尬的“炫耀”说起,今年五十五岁的老王与村里许多牙齿发黑或者早早脱落缺牙的同龄人相比,他总是以拥有一口“好牙”而引以为傲。
那天很多人在他家聊天,他一时兴起,又想“炫耀”一把自己的牙口,便拿起一颗山核桃塞进嘴里,当自信地咬下去时,悲剧发生了,老王只觉得嘴巴里一阵酸痛。小核桃没伤一根毫毛,他的两颗牙齿却掉下来了,在场的人都吓傻了眼,所幸出血不多用凉水漱了漱口就止住了。
老吴怎么都想不到,这场尴尬,只是后续一连串悲剧的开始,自那以后,他好像有了心理阴影再也不敢咬硬的东西,吃东西还经常牙齿发酸,在城里工作的子女劝他上医院看看,顺便把掉了的两颗牙齿给补回去。去医院之前,老吴做了点功课,听人家说现在有钱人都“种牙”比镶的更牢,于是直奔口腔医院的种植中心,按照他的计划,花个两万多元种上两颗牙齿就完事了。
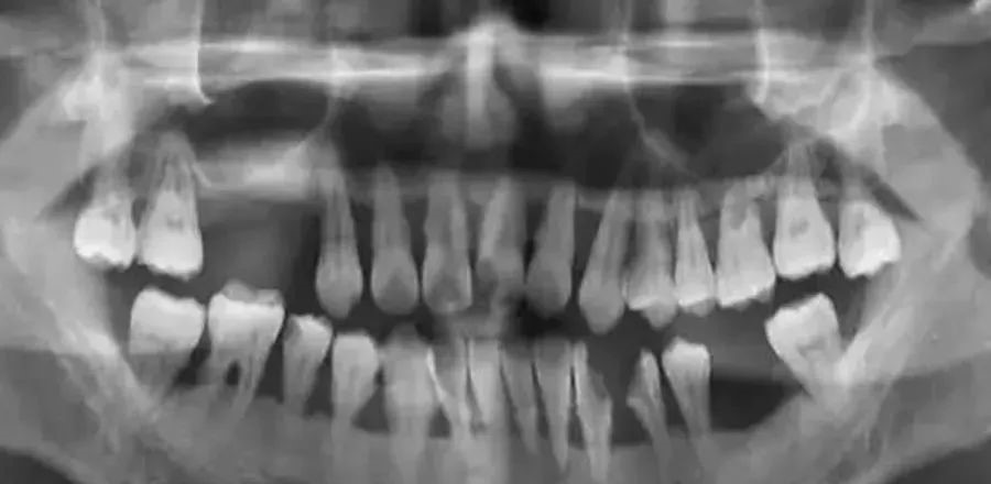
但接诊医生做完检查后直摇头,并告知:“你的全口牙齿种上得花二十多万元”,老吴整日茶饭不思,一直在纠结该怎么处理这一口牙齿,又思想斗争了半个月后,老吴好不容易下定决心花大价钱弄好自己这一口牙齿,然而,这次他又遭遇了晴天霹雳,因为他的牙龈肿的肿、猥琐的猥琐,在种植之前必须处理好牙周问题,于是被转到牙周科,接诊的医生按例给他拍了X光片。

片子显示牙槽骨已经差不多丢失殆尽,这意味着即使他想种植牙齿也未必可以,医生跟他说:“这就跟种树一样,没有土的话,能把树给种好吗?”这次,老吴彻底懵了,一个劲追问医生:“几十年来我连牙疼都没有过怎么一来就全完了呢?”医生告诉他:“这一切的问题都根源于牙周病,全中国有80%左右的人会得这种病,但多数人都没有重视其早期症状。”
牙周病早期有什么症状呢?小编给大家分享几条,快来看一下,你中了几条?
1、刷牙或者咬硬物时牙龈出血:正常的牙龈是不应当出血的,许多人认为牙龈出血是身体上火,买个败火的牙膏刷牙或者吃点败火的药就可以了,实际上,牙龈出血是牙周炎早期的症状之一,是机体发出的信号,告诉你牙龈发炎了,如果你不重视这个信号,那么牙周炎就会继续发展下去。

2、感觉牙缝越来越大:感觉牙缝越来越大是由于牙周病造成,牙龈和下方牙槽骨的退缩,引起牙间本应由牙龈和牙槽骨占据的空间暴露出来,使患者感觉牙缝越来越大。

3、持续性口臭:口臭也是牙周炎的一个典型症状,牙周炎的发生,会引起组织发炎、牙龈出血,口腔有害细菌产生的代谢物会导致口臭的出现。
4、牙齿有松动、位置改变或者咀嚼无力:牙周病造成牙周组织的破坏,牙齿的支持力不足,引起牙齿松动、位置改变或者吃东西用不上力,实际上这是牙周病到了中期或者晚期的一种表现。

怎么样,以上症状大家中了几条呢?不过大家不要恐慌,只要我们发现症状,及时预防,尽早看牙,牙周病还是可以及时逆转的。
傅氏口腔门诊成立于1993年,是市医保定点单位;由傅恭悌医生领衔创建,医疗团队全部由经验丰富的医生和口腔专科护士组成,专注为客户提供涵盖颜面美学、口腔健康学的全方位一体化医疗服务。
经过近三十年的发展,傅氏口腔已在丹溪北路与万达总部经济园开设门诊。傅氏以种植、正畸为核心特色,并同时设有儿童齿科、微创牙周、牙体牙髓、 美学修复等诊疗科室。严格执行消毒灭菌管理制度。先进的口腔诊疗设备,以及标准化口腔四手操作,为您的诊疗安全提供完善的保障。
傅氏口腔丹溪门诊:丹溪北路18号雪峰银座201室 预约电话:0579-85557255
傅氏口腔万达门诊:义乌市总部经济园A6幢201室 预约电话:0579-85557538
傅氏口腔儿牙中心:丹溪北路18号雪峰银座204室 预约电话:0579-89906639
客服:万达门诊18757954754(微信同号)
丹溪门诊17348813315(微信同号)
义乌傅氏口腔门诊部(丹溪门诊)医广号:浙医广〔2026〕第330782-0017号
义乌傅氏口腔门诊部(万达门诊)医广号:浙医广〔2026〕第330782-0016号