
不知道大家会不会在喝热水或者冰饮的时候,就会觉得牙齿酸软得不行,如果有的话,可能要注意一下牙齿敏感的问题。牙齿敏感是一种很常见的现象,据《我国城市地区成人牙本质敏感的流行病学调查》统计,每十个中国人就有三个人牙本质敏感。那么为什么会有牙齿敏感,应该怎么预防,有什么影响吗,要不要去看医生?
一、为什么会有牙齿敏感?
在正常的情况下,健康的牙冠上有一层牙釉质保护,健康的牙根有牙龈保护。牙本质的密度低于牙釉质和牙骨质,并含有微小管,当牙本质失去牙釉质或者牙骨质的保护性覆盖物时,这些微小管提供了渠道给热和冷或者酸性或者粘性食物到达牙齿内的神经和细胞。当牙龈萎缩时,牙本质也可能暴露,引起敏感。以下几种情况会导致牙齿敏感。
1、龋齿:如果得了龋病,在刷牙、喝热水、咀嚼食物时出现酸软感。那么就意味着龋齿已经发展到中等深度,到了龋齿发展到深部靠近牙髓时,敏感症状才会很明显,甚至在冷热刺激下出现疼痛感。

方案:保持良好的口腔卫生,合理饮食,有规律地检查牙齿。一旦发现龋坏,立即寻求牙医的帮助。
2、牙本质外露。



原因:①紧咬牙或者磨牙;②刷牙时横刷力量过大,刷毛太硬,距离过长,导致楔状缺损;③频繁使用含酸性物质的漱口水;④食用过量食用酸性物质;⑤随着年龄的增长导致的牙龈萎缩、牙根暴露。
方案:①佩戴咬合垫,减少因磨牙或者紧咬牙引起的釉质磨损;②选用专门具有脱敏效果的牙膏和软毛牙刷,掌握正确的刷牙方法,尽量竖刷;③咨询牙医,更换中性的含氟漱口水;④食用酸性物质后,用清水漱口。
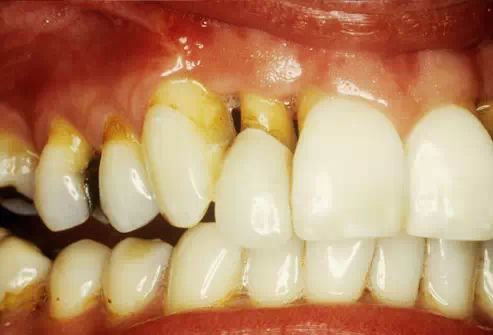
3、牙周病:当牙周炎发展到中晚期,由于牙槽骨吸收,导致牙龈萎缩出现牙根面外露,而失去保护作用的牙根面,在受冷热温度刺激下很容易出现敏感症状,特点是多个牙齿或者全口牙颈部酸软,牙齿咬东西时会感觉到明显无力。

4、牙隐裂:指发生在牙冠表面的细小、不易发现的细微裂纹,牙隐裂可由牙齿结构的内因和过大的咀嚼力等外因引起。牙隐裂早期没有症状,随着裂纹的加深累及牙髓,就会引起牙酸软、咬物疼痛,到牙髓发生感染时才有自发性痛,最终可发生牙齿劈裂,丧失牙齿。
5、胃酸返流性牙敏感:消化道疾病也会导致牙齿酸软,这是由于胃酸返流性食道炎病患返流的胃酸腐蚀了口腔内牙齿,引起牙表面脱钙,从而出现牙齿极易受外界刺激感觉敏感。
6、月经期牙敏感:常见于年轻女性,可能与月经期体内激素水平变化对口腔环境的影响,或者月经期精神焦虑有关。
二、怎么预防牙齿敏感?
1、养成良好的竖刷牙习惯,避免“拉锯式”的横刷牙:横刷牙会导致牙颈部楔状缺损的形成和牙根暴露,从而产生牙本质过敏。刷牙时应该选用牙刷毛比较软、刷头较小的保健牙刷,可以选用脱敏牙膏和含氟牙膏,促进牙齿表面的再矿化,预防龋齿的发生,减轻牙齿敏感的症状。
2、减少碳酸饮料的摄入:进食酸性食物后不要马上刷牙,牙齿刚刚被酸性物质腐蚀过,如果立刻刷牙,摩擦作用会带走牙齿表面更多的矿物质,使牙齿脱矿更加严重。因此,正确的方法是用清水漱口,如果有夜磨牙的习惯应及时到医院就诊进行矫治,避免吃过冷或者过热的食物,减少对牙髓的刺激。
3、过敏及时去口腔医院进行治疗:牙本质过敏症如因楔状缺损造成,要及时补上患牙。对小而深的敏感点,可作充填。如果是因为磨耗造成的,则应进行脱敏治疗,在牙齿敏感区涂擦可以封闭牙本质小管的脱敏剂,使用脱敏牙膏可以减轻症状。对多个牙齿敏感,尤其位于牙颈部,可考虑用激光或直流电离子导入法脱敏,对较严重的磨损脱敏无效的疼痛患牙,可酌情做牙髓治疗。
4、多食用促进牙齿矿化和防龋的食物:牛奶中丰富的钙和磷有助于牙齿的再矿化,茶叶中的氟对再矿化和防龋都有很好的效果,茶叶中的鞣酸可提高牙神经对刺激的抵抗力,从而降低牙神经的敏感性。
三、有牙齿敏感怎么办?
1、使用脱敏牙膏:轻微的牙齿敏感可以使用脱敏牙膏来缓解,注意:脱敏牙膏适用于过敏牙齿较多,且过敏部位不甚明确,过敏症状较轻的人群,比较严重的过敏还是要找牙医治疗的。
2、补牙:龋齿需要补牙,越早补牙,费用越低,痛苦越小。
3、脱敏治疗:过度异常磨耗造成的过敏,在较轻微时可以采用脱敏治疗,使用脱敏剂在牙齿敏感的部位反复的涂擦,用药物封闭牙齿的牙本质小管,切断敏感的传播途径。
4、填充或者牙冠修复:轻度釉质发育不全可以采用填充的治疗方法,严重一点需要做贴面或者牙冠修复,相当于给牙齿穿上盔甲,阻止外界的各种刺激。
傅氏口腔门诊成立于1993年,是市医保定点单位;由傅恭悌医生领衔创建,医疗团队全部由经验丰富的医生和口腔专科护士组成,专注为客户提供涵盖颜面美学、口腔健康学的全方位一体化医疗服务。
经过近三十年的发展,傅氏口腔已在丹溪北路与万达总部经济园开设门诊。傅氏以种植、正畸为核心特色,并同时设有儿童齿科、微创牙周、牙体牙髓、 美学修复等诊疗科室。严格执行消毒灭菌管理制度。先进的口腔诊疗设备,以及标准化口腔四手操作,为您的诊疗安全提供完善的保障。
傅氏口腔丹溪门诊:丹溪北路18号雪峰银座201室 预约电话:0579-85557255
傅氏口腔万达门诊:义乌市总部经济园A6幢201室 预约电话:0579-85557538
傅氏口腔儿牙中心:丹溪北路18号雪峰银座204室 预约电话:0579-89906639
客服:万达门诊18757954754(微信同号)
丹溪门诊17348813315(微信同号)
义乌傅氏口腔门诊部(丹溪门诊)医广号:浙医广〔2026〕第330782-0017号
义乌傅氏口腔门诊部(万达门诊)医广号:浙医广〔2026〕第330782-0016号