
正常情况下,牙齿咬合时,上前牙是稍微覆盖住下前牙,如果上前牙切缘盖过下前牙牙冠长度三分之一者或者下前牙咬合于上前牙舌侧三分之一以上,那么就是深覆合了。那么深覆合有何不好的影响吗,牙齿深覆合不进行矫正又会有何危害呢?
一、深覆合危害的具体表现。
1、健康方面:这种畸形易咬伤上牙龈,指的是重度深覆合,下面门牙的切缘,咬到了上面的门牙腭侧牙龈;还易导致前牙的牙周炎疾病及面部关节疾病;另外有的人经常会反映说,牙齿经常不自觉的就紧咬起来,感觉牙齿很疲劳,其实这是跟咬合不正确息息相关的。
深覆合就是一大祸源;磨牙跟深覆合的咬合关系也是有关系的,很多人通过矫正改善咬合后,磨牙的情况也会得到改善,磨牙对牙齿的磨耗很严重,牙齿磨耗还会出现牙齿敏感,牙髓炎等症状,所以需要引起重视。

2、美观方面:牙齿深覆合会导致下面部变短,从而影响面容美观,中国人审美,讲究“三庭五眼”。而牙齿深覆合很明显使鼻底到下巴底端的长度短于前两庭的长度,简单来说,深覆合就是咬合深,上面的门牙覆盖下面门牙较深,想象一下,如果上门牙抬高咬合,下巴就会跟着变长。
所以下巴短也不是一定需要整容改善,先检查看一下是不是咬合原因导致的,如果是,是不是就可以免去整容的痛苦。另外有些深覆合还伴着露龈的问题,就是笑的时候露出的牙龈比较多,正常情况下是不会露牙龈的,露龈笑比较影响美观。侧面图:三庭,正常审美和深覆合的情况,深覆合下巴较短,矫正后,下巴比较协调。
二、那么深覆合应该怎么办?
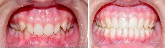
深覆合矫正主要是抬高牙齿咬合,根据事先设计的理想颜面结构关系和比率来重新组合颜面骨骼位置。深覆合调整后,不仅可以改善美观,更可以改善牙齿的咬合关系,有利于牙齿和牙周的健康,关于牙齿经常紧咬的问题。
在矫正前以及矫正中,可以有意识的提醒自己,放松状态下,上下唇轻轻闭合,牙齿尽量不接触。因为平时牙齿咀嚼也会有疲劳感,适当放松牙齿,可以有效的保护牙齿牙周,它也是需要休息的。

偷偷告诉你,在改善深覆合的同时打开咬肌可以改变脸型,使笑容变得漂亮!
傅氏口腔门诊成立于1993年,是市医保定点单位;由傅恭悌医生领衔创建,医疗团队全部由经验丰富的医生和口腔专科护士组成,专注为客户提供涵盖颜面美学、口腔健康学的全方位一体化医疗服务。
经过近三十年的发展,傅氏口腔已在丹溪北路与万达总部经济园开设门诊。傅氏以种植、正畸为核心特色,并同时设有儿童齿科、微创牙周、牙体牙髓、 美学修复等诊疗科室。严格执行消毒灭菌管理制度。先进的口腔诊疗设备,以及标准化口腔四手操作,为您的诊疗安全提供完善的保障。
傅氏口腔丹溪门诊:丹溪北路18号雪峰银座201室 预约电话:0579-85557255
傅氏口腔万达门诊:义乌市总部经济园A6幢201室 预约电话:0579-85557538
傅氏口腔儿牙中心:丹溪北路18号雪峰银座204室 预约电话:0579-89906639
客服:万达门诊18757954754(微信同号)
丹溪门诊17348813315(微信同号)
义乌傅氏口腔门诊部(丹溪门诊)医广号:浙医广〔2026〕第330782-0017号
义乌傅氏口腔门诊部(万达门诊)医广号:浙医广〔2026〕第330782-0016号