
深龋指的是龋坏组织接近于牙髓组织,深龋治疗就是在接近于牙髓组织的牙本质上进行。如果充填深龋的药物和下料选择不正确,药物通过牙本质小管,能使牙髓组织发炎,深龋治疗应该注意以下问题。

深龋病人一般主诉大概有三种:①龋洞,刺激时牙齿疼痛;②食物嵌入龋洞,去除嵌塞食物,立即不痛;③牙齿疼痛过,现在不痛。
检查者根据病人的病史,重点追问有无自发性疼痛史。所谓自发痛指的是:在没有任何刺激情况下牙齿产生疼痛,如夜间休息时牙齿疼痛。自发痛表示牙齿的牙髓组织发炎,在临床病人中,深龋牙痛可不典型,可归纳为:①睡觉前牙齿隐痛,但不影响睡觉;②冷、热刺激牙齿时,感觉牙齿疼痛的时间明显延长;③过去疼痛,现在不痛。
以上三种不典型牙痛,只要具备其中一种疼痛,就需要做牙髓治疗。深龋治疗,了解病史很重要,特别是了解有无上述三种不典型牙痛史,对于深龋治疗效果的好坏关系更大。
深龋洞低检查可采取看、探、挖等手段,搞清龋洞低情况,防止洞底情况不清楚,影响治疗效果,造成不必要的痛苦。
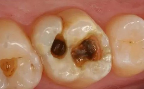
看:察看洞底的颜色有无变化。正常洞底为牙本质组织,呈淡黄色。发生牙本质脱钙时的颜色应是淡黄与浅褐色之间的颜色变化,通过口腔检查(口镜)反光到龋洞底,观察到的颜色透红,为活髓的标志。如果洞底有黑色点状或不规则小片区域改变,说明龋洞底是牙髓坏死的标志。除了看龋底低之外,还要看各个牙髓角的颜色变化,如果发现髓角黑染性变化也说明是牙髓坏死后的问题。

探:探查龋洞底有三个目的。
1、了解龋洞底的敏感性:洞底的敏感性主要有两种情况;第一种情况,龋洞底敏感,探查洞底时,感觉酸痛。第二种情况,龋洞底不敏感。洞底不敏感也有两种可能性:第一种可能性是龋坏后形成继发性牙本质。第二种可能性是牙髓已经坏死。
2、了解龋洞底有无穿通(牙神经有无外露),医学上简称为有无穿髓:穿髓点探诊时可引起剧烈疼痛,探到剧烈疼痛的穿髓点是活髓的表现。如果穿髓点探诊时没有疼痛反应,说明牙冠的牙髓(牙冠的神经)已经坏死。值得注意的是龋坏后的牙齿有过自发性疼痛,现在不痛,探查时,必须仔细探查龋洞的洞底、洞壁和髓角。并施以一定的压力,检查洞底的硬度,寻找穿髓点,防止牙髓炎疾病漏诊。但也应该防止压力过大,刺穿了没有自发性疼痛的牙齿,检查时,探诊的力量要适当。
3、了解洞底的硬度:了解洞底硬度的临床意义是;为充填龋洞决定垫底药物。如龋洞没有疼痛史,但洞低牙本质软化,可以使用氢氧化钙垫底,医学上称为再矿化。经过再矿化的软化牙本质仍然可以保护牙髓,再在经过再矿化的牙本质上使用磷酸锌水门汀垫底,银汞合金或复合树脂永久充填。
挖:去除龋坏组织可用高速牙钻,但洞低的软化牙本质最好采用挖除方法,因为可以控制去除多少腐质,防止机器去腐发生意外穿髓。

关于软化牙本质是否去除的问题,历来有两种意见:①主张保留:其理由是软化牙本质经过再矿化而被保留;②主张去除:其理由是软化牙本质已经感染,保留下来,将来继续龋坏,影响牙髓。在临床上,以上两种意见都比较片面地强调牙洞底的软化牙本质,临床处理问题不少。因此,我们在临床工作中采取了结合病史,决定软化牙本质是否去除的方法,效果较好。
一般来说,具有以上讲到的三种不典型牙痛史,我们采取去净软化牙本质;检查洞底并观察洞底牙本质色、质、硬度情况。凡能找到穿髓点或洞底黑色改变,都应做牙髓治疗。如果没有前面讲到的不典型病史,我们采取保留软化牙本质。在软化牙本质上放置氧化锌丁香油糊剂,暂时封起来,并观察一周时间。如果一周内牙齿没有疼痛,说明牙髓组织没有炎症,可以保留一部分氧化锌丁香油,永久充填。最后,选择充填材料。
选择充填材料的原则是:①材料对牙髓没有刺激性;②材料对软化牙本质有再矿化作用或有利于修复性牙本质的形成;③材料具有一定强度,能够负担咀嚼压力。
傅氏口腔丹溪门诊:丹溪北路18号雪峰银座201室 预约电话:0579-85557255
傅氏口腔万达门诊:义乌市总部经济园A6幢201室 预约电话:0579-85557538
傅氏口腔儿牙中心:丹溪北路18号雪峰银座204室 预约电话:0579-89906639
客服:万达门诊18757954754(微信同号)
丹溪门诊17348813315(微信同号)
义乌傅氏口腔门诊部(丹溪门诊)医广号:浙医广〔2026〕第330782-0017号
义乌傅氏口腔门诊部(万达门诊)医广号:浙医广〔2026〕第330782-0016号