
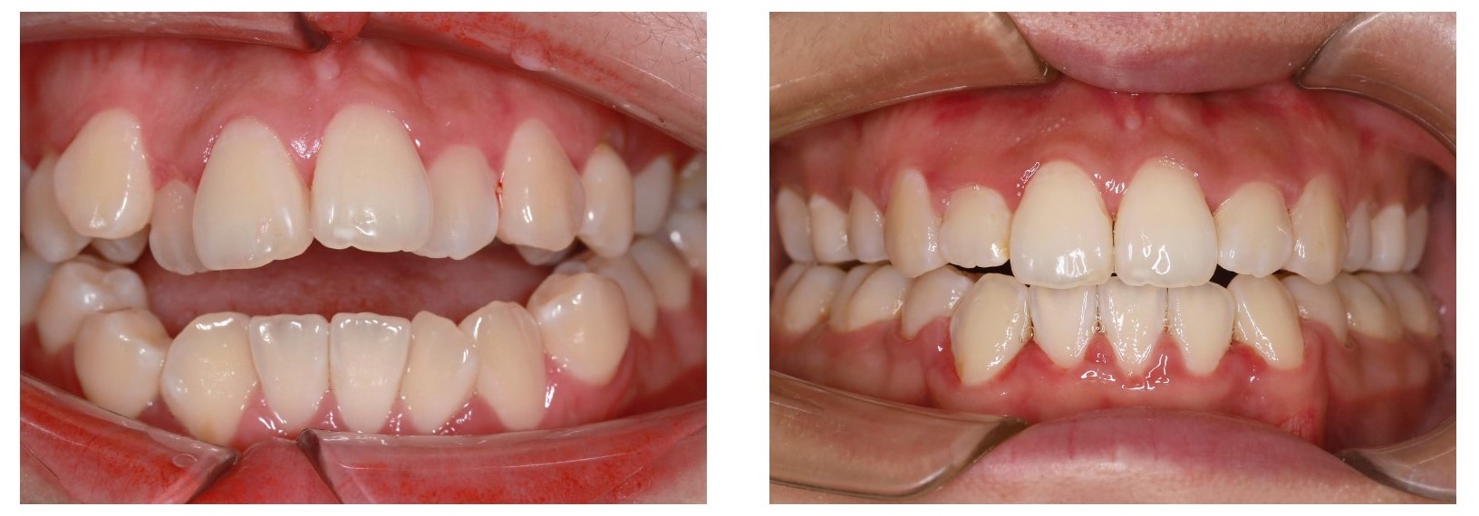
经常会看到一些信息“牙齿不好看,牙齿缝隙太大,张嘴时会很尴尬,不知道去做牙齿矫正能不能得到改善,做矫正多久才能有效果?”“龅牙要怎样解决?牙齿矫正解决的话需要多久?”现在就随小编一起来看看牙齿矫正需要多久!
一、决定牙齿矫正治疗时间的三大因素!
1、年龄:成年人和未成年人在牙齿矫正上有很大的差别,因为未成年人牙齿的发育还没有完成,有很多不确定的因素。一般来讲,青少年矫治的时间为一年左右,简单病例可能几个月即可完成,复杂的可能要两年左右。

2、口腔情况:如果牙齿情况比较复杂,矫正的时间就会比其他人要长些,而且可能终身需要佩戴牙齿保持器。
3、矫正方法:矫正的方法不同需要的时间不同,例如普通正畸需要的时间不较长,隐形矫治技术,没有了粘接托槽、调整弓丝的繁琐,临床操作大大简化,整个矫治过程省时又省力。
二、让牙齿快速移动能缩短时间?
很多矫正患者会觉得一至两年的治疗时间太久,告诉医生他们不怕疼痛,要求医生加大矫正力度,缩短治疗时间。

但是,矫正牙齿真的越快越好吗?牙齿的正常移动速度是多少?过快有什么危害?
牙齿每一个月移动一毫米,这已经是快的速度了,如果再快的话,可能会引起:
1、牙齿疼痛感加强,进食困难。
2、牙根的吸收,就是让牙根变短。

3、牙槽骨的吸收,就是让牙根周围的骨头高度降低。
对牙根和牙槽骨的伤害都会导致牙根暴露,牙髓坏死,牙齿松动甚至脱落,自然这种过快的牙齿移动是不健康的。
傅氏口腔门诊成立于1993年,是市医保定点单位;由傅恭悌医生领衔创建,医疗团队全部由经验丰富的医生和口腔专科护士组成,专注为客户提供涵盖颜面美学、口腔健康学的全方位一体化医疗服务。
经过近三十年的发展,傅氏口腔已在丹溪北路与万达总部经济园开设门诊。傅氏以种植、正畸为核心特色,并同时设有儿童齿科、微创牙周、牙体牙髓、 美学修复等诊疗科室。严格执行消毒灭菌管理制度。先进的口腔诊疗设备,以及标准化口腔四手操作,为您的诊疗安全提供完善的保障。
傅氏口腔丹溪门诊:丹溪北路18号雪峰银座201室 预约电话:0579-85557255
傅氏口腔万达门诊:义乌市总部经济园A6幢201室 预约电话:0579-85557538
傅氏口腔儿牙中心:丹溪北路18号雪峰银座204室 预约电话:0579-89906639
客服:万达门诊18757954754(微信同号)
丹溪门诊17348813315(微信同号)
义乌傅氏口腔门诊部(丹溪门诊)医广号:浙医广〔2026〕第330782-0017号
义乌傅氏口腔门诊部(万达门诊)医广号:浙医广〔2026〕第330782-0016号