
太多明星和网友的案例都告诉我们,有时改变脸部轮廓、神态以及印象并不一定要通过整容,只要矫正牙齿就可以起到一样的效果。这是为什么呢?因为牙齿不齐、牙齿拥挤、龅牙等问题的影响,面部看起来线条感或者立体感没那么明显。做完牙齿矫正,牙齿整齐好看,牙齿咬合对齐,相对来说视觉上会带来全新的改变。
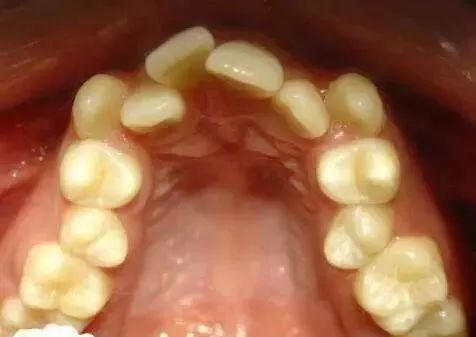
牙齿拥挤是指牙齿超出了牙床的容纳量形成牙齿过度拥挤不齐的现象。这种现象会导致牙齿排列不齐,严重影响人的正常咀嚼功能,是医学上常见的牙齿畸形状态的一种,出现牙齿拥挤应及时矫正治疗。
牙齿拥挤是牙齿错颌畸形中常见的,引起的原因很多种,如果不及时矫正处理,不仅会影响牙齿的清洁、影响上下颌牙齿之间的咬合关系,严重者会引起更多的牙齿疾病。

引起牙齿拥挤畸形的原因有先天因素,也有后天因素,有些因素可以预防,有些则防不胜防。
1、先天因素:医学上认为牙列拥挤具有明显的遗传特征,牙齿的扭转程度能够在亲代和子代上看出表现。
2、颌骨发育不足:口腔分为上颚和下颚,不管是上颚还是下颚,都叫做颌骨。发育不足会造成大量骨量不调,骨量不调势必会造成拥挤错位,牙齿也不可能整齐。
3、不良的生活习惯:在儿童长牙期间,因三岁后习惯性使用奶嘴,吮指,平时习惯性口呼吸,啃咬铅笔等不良习惯,会造成牙弓狭窄,容易使牙齿排列拥挤。

4、替牙期故障:替牙期乳牙早失会造成邻牙前移占据缺牙隙,造成恒牙萌出时间隙不足而错位。乳牙滞留则是相反的情况,在乳牙还没有脱落的时候恒牙长出,因没有空隙让其生长,只能错位长出。所以,孩子一旦有乳牙滞留的情况,建议尽早拔牙。
5、前牙过大:造成牙齿排列拥挤错位,前牙过大是一个因素,这是因为槽牙先长于门牙(前牙),槽牙的生长空间不足够,于是当门牙长出,大小不适合的时候,就会出现排列错位或者牙缝过大的情况。
牙齿拥挤并不难处理,通过牙齿矫正就能轻松的解决这一问题。
目前,牙齿矫正是处理牙齿问题常见的方法;通过牙齿矫正,不仅可以还您一口健康美观的牙齿,而且针对任何年龄段需要矫正的人来说,牙齿矫正或许会影响到一生,助您人生更加美好。
傅氏口腔门诊成立于1993年,是市医保定点单位;由傅恭悌医生领衔创建,医疗团队全部由经验丰富的医生和口腔专科护士组成,专注为客户提供涵盖颜面美学、口腔健康学的全方位一体化医疗服务。
经过近三十年的发展,傅氏口腔已在丹溪北路与万达总部经济园开设门诊。傅氏以种植、正畸为核心特色,并同时设有儿童齿科、微创牙周、牙体牙髓、 美学修复等诊疗科室。严格执行消毒灭菌管理制度。先进的口腔诊疗设备,以及标准化口腔四手操作,为您的诊疗安全提供完善的保障。
傅氏口腔丹溪门诊:丹溪北路18号雪峰银座201室 预约电话:0579-85557255
傅氏口腔万达门诊:义乌市总部经济园A6幢201室 预约电话:0579-85557538
傅氏口腔儿牙中心:丹溪北路18号雪峰银座204室 预约电话:0579-89906639
客服:万达门诊18757954754(微信同号)
丹溪门诊17348813315(微信同号)
义乌傅氏口腔门诊部(丹溪门诊)医广号:浙医广〔2026〕第330782-0017号
义乌傅氏口腔门诊部(万达门诊)医广号:浙医广〔2026〕第330782-0016号