
有很多网友发照片来问:“我的嘴巴很凸,脸歪,是不是需要做正颌手术?”但是一看照片,明明就是牙齿的问题,根本不需要进行正颌手术!其实很多小伙伴都分不清自己是“骨性不对称”还是“牙性不对称”。现在就给广大网友们来科普一下,教大家如何去判断!
一、骨性不对称的表现。
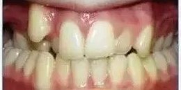
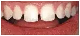
1、偏颌:偏颌主要是指下颌左右两侧不对称,有的人还会出现下巴偏斜的情况。严重的时候会造成双侧颜面严重不对称,影响咀嚼,发音等。

2、地包天:下颌前牙咬到上颌前牙的外面,除美观问题外,会造成咀嚼、发音等功能障碍。若属骨性颌骨不正常导致的反颌需要正颌手术来治疗。
3、龅牙:龅牙可分为牙性与骨骼性龅牙。咬牙时,上前牙切端至下前牙唇面的最大水平距离超过3mm,上牙明显突出。大部分的龅牙小伙伴可以正畸治疗解决,严重的骨性则需要做正颌矫正。
二、牙性不对称表现。
1、牙列拥挤:举个例子,一个三人的汽车后座,硬要坐五个人,大家只能错开坐,表现在牙齿上就是凌乱拥挤。还有的人因为智齿没有长好,挤压前面的牙齿,也会将牙齿挤歪。

2、对刃:正常人的牙齿是上门牙覆盖下门牙2mm。如果前牙牙齿的切端(就是门牙牙冠的切咬东西的部位)与切端接触,刚刚碰上,那就是对刃。
3、牙列稀疏:牙弓过大,牙齿过小或过少(天生缺牙或者后天掉落),导致排列太宽松,零零散散。最直观的表现就是牙缝大。

大部分人都属于齿性不对称,只有特别严重的骨性不对称才需要做正颌,总之正颌手术一定要慎重!
所以,现在拿出镜子,对照着上面的参考图看看,自己是属于骨性不对称还是牙性不对称?
如果还是不清楚自己到底需不需要矫正,可以去医院让医生帮你看看,进行口腔检查!
傅氏口腔门诊成立于1993年,是市医保定点单位;由傅恭悌医生领衔创建,医疗团队全部由经验丰富的医生和口腔专科护士组成,专注为客户提供涵盖颜面美学、口腔健康学的全方位一体化医疗服务。
经过近三十年的发展,傅氏口腔已在丹溪北路与万达总部经济园开设门诊。傅氏以种植、正畸为核心特色,并同时设有儿童齿科、微创牙周、牙体牙髓、 美学修复等诊疗科室。严格执行消毒灭菌管理制度。先进的口腔诊疗设备,以及标准化口腔四手操作,为您的诊疗安全提供完善的保障。
傅氏口腔丹溪门诊:丹溪北路18号雪峰银座201室 预约电话:0579-85557255
傅氏口腔万达门诊:义乌市总部经济园A6幢201室 预约电话:0579-85557538
傅氏口腔儿牙中心:丹溪北路18号雪峰银座204室 预约电话:0579-89906639
客服:万达门诊18757954754(微信同号)
丹溪门诊17348813315(微信同号)
义乌傅氏口腔门诊部(丹溪门诊)医广号:浙医广〔2026〕第330782-0017号
义乌傅氏口腔门诊部(万达门诊)医广号:浙医广〔2026〕第330782-0016号