
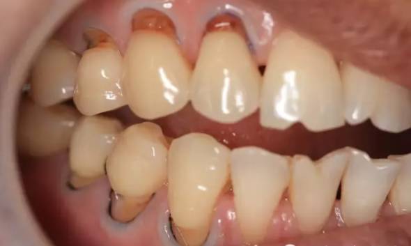
很多人觉得刷牙只不过是一件小事情,其实不然。现在,请你先对照镜子,张开嘴,看看你的牙齿根部,是不是像下图一样,隐隐约约有些凹下去了?如果是,那你就得当心了!


与普通蛀牙不同,出现这种情况,你的牙齿危险了!医学上称之为“楔状缺损”!

这种横槽就是“楔状缺失”!由于它外形酷似木匠用的楔子,因此称为“楔状缺损”。
一、什么是楔状缺损?
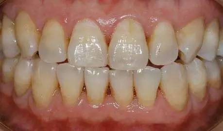
楔状缺损是发生在牙齿唇、颊面颈部的慢性硬组织缺损,呈“V”状,由于它的外形酷似木匠用的楔子,因而得名楔状缺损。多见于前牙或者双尖牙的唇面,以中老年患者居多。

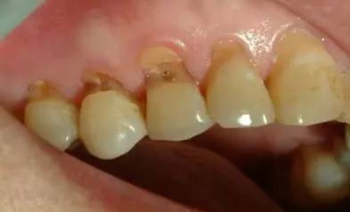
二、为何出现楔状缺损?原来是横向刷牙惹的祸!
横向刷牙的习惯,是牙齿一颗颗掉了的“罪魁祸首”。医生表示,横着刷牙特别是横着使劲刷牙,时间长了,易造成牙齿颈部的楔状缺损损害,牙齿表面刷出一道道槽沟,进而形成牙髓炎、牙疼、牙变色、牙变死等。此外,酸、细菌、挤压的作用,也会造成牙齿“楔状缺损”。
楔状缺损该如何治疗?
症状较轻者:

对于组织缺损较少且无酸痛症状者,局部不需要特殊处理。但要避免横刷,并选用较软的牙刷和磨料较细的牙膏。
缺损较重者:

可选用与牙齿颜色近似又有一定粘接性的复合树脂或者玻璃离子粘固粉等将楔状缺损补好,以防继续发展。
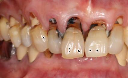
重度缺损者:

重度缺损而引起牙髓炎、根尖炎的患者,要及时进行治疗。对于牙折者,根面好的行根管治疗后,作接冠术、桩冠或拔牙。
温馨提示:其实当你感觉到牙齿不适、酸痛等症状时,问题已经相当严重了。平时我们可以做下自检:对着镜子,看看牙齿颈部有没有小的缺损。
傅氏口腔门诊成立于1993年,是市医保定点单位;由傅恭悌医生领衔创建,医疗团队全部由经验丰富的医生和口腔专科护士组成,专注为客户提供涵盖颜面美学、口腔健康学的全方位一体化医疗服务。
经过近三十年的发展,傅氏口腔已在丹溪北路与万达总部经济园开设门诊。傅氏以种植、正畸为核心特色,并同时设有儿童齿科、微创牙周、牙体牙髓、 美学修复等诊疗科室。严格执行消毒灭菌管理制度。先进的口腔诊疗设备,以及标准化口腔四手操作,为您的诊疗安全提供完善的保障。
傅氏口腔丹溪门诊:丹溪北路18号雪峰银座201室 预约电话:0579-85557255
傅氏口腔万达门诊:义乌市总部经济园A6幢201室 预约电话:0579-85557538
傅氏口腔儿牙中心:丹溪北路18号雪峰银座204室 预约电话:0579-89906639
客服:万达门诊18757954754(微信同号)
丹溪门诊17348813315(微信同号)
义乌傅氏口腔门诊部(丹溪门诊)医广号:浙医广〔2026〕第330782-0017号
义乌傅氏口腔门诊部(万达门诊)医广号:浙医广〔2026〕第330782-0016号