
生活中你有没有遇到过这样的人:微笑时露出牙龈,而别人只露出洁白的牙齿,你觉得很难看,所以极力控制你的笑容:不敢大声笑、只能捂嘴笑,然而仍旧不能改变露龈笑这个事实。微笑是一张最好的社交名片!但露龈笑绝对不是。露龈笑又可分原生露龈笑和医源性露龈笑,前者与先天遗传或后天的腺样体肥大等鼻咽疾患导致睡眠张口呼吸等因素有关;医源性露龈笑则是正畸医生对切牙垂直向控制不当引起。
微笑时唇齿的美学特征为:1.显露上前牙的整个牙冠长度;2.不显露牙龈;3.上切牙曲线与下唇内曲线平行;4.上切牙切缘与下唇全部或者部分接触;5.显露上前牙或者前磨牙;6.中线与和谐的微笑相一致。
什么是露龈笑?
当人在微笑时,上颌前牙位置的牙龈暴露超过2毫米,我们称之为露龈笑。可能很多小伙伴笑起来从来没有在意过,但它确确实实很影响一个人的气质。它不仅会破坏面部的和谐美观,也会为当事人带来一定的心理负担。露龈笑的原因主要有两个:一个是唇的问题,另一个就是牙槽骨的问题。临床上解决露龈笑之前,先要检查分析患者为什么会有露龈笑的问题。如果是因为牙槽骨垂直向生长过度,这个就可以通过牙齿矫正来解决,通过种植钉把前牙压低来矫正。就是深受露龈笑的困扰,从正面来看牙龈暴露过多,笑起来很不好看,从侧面来看嘴凸明显,很影响人整体的气质。

同时牙齿有一定的拥挤,覆合很深。

通过拔牙矫正和种植钉,把前牙压低,改善露龈笑,内收门牙,排齐牙齿调整咬合。
来看看矫正后的效果:

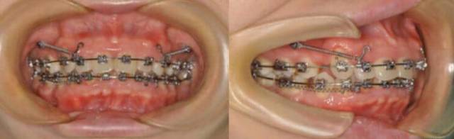
下面是口内矫正效果照片:

牙齿矫正后,女孩容貌有了很大改善,露龈笑情况消失了,人看着都年轻了好几岁,笑容也变得自然优美,侧貌也不再突出,显得人更加有气质,最重要的是,牙齿咬合健康稳定,口腔问题也有很大改善。
傅氏口腔门诊成立于1993年,是市医保定点单位;由傅恭悌医生领衔创建,医疗团队全部由经验丰富的医生和口腔专科护士组成,专注为客户提供涵盖颜面美学、口腔健康学的全方位一体化医疗服务。
经过近三十年的发展,傅氏口腔已在丹溪北路与万达总部经济园开设门诊。傅氏以种植、正畸为核心特色,并同时设有儿童齿科、微创牙周、牙体牙髓、 美学修复等诊疗科室。严格执行消毒灭菌管理制度。先进的口腔诊疗设备,以及标准化口腔四手操作,为您的诊疗安全提供完善的保障。
傅氏口腔丹溪门诊:丹溪北路18号雪峰银座201室 预约电话:0579-85557255
傅氏口腔万达门诊:义乌市总部经济园A6幢201室 预约电话:0579-85557538
傅氏口腔儿牙中心:丹溪北路18号雪峰银座204室 预约电话:0579-89906639
客服:万达门诊18757954754(微信同号)
丹溪门诊17348813315(微信同号)
义乌傅氏口腔门诊部(丹溪门诊)医广号:浙医广〔2026〕第330782-0017号
义乌傅氏口腔门诊部(万达门诊)医广号:浙医广〔2026〕第330782-0016号