
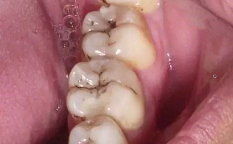
我们叫六龄齿,是四胞胎兄弟是六岁左右出生的第一颗恒牙,刚长出来的我们颌面窝沟点隙多且较深,食物容易滞留,主人请一定给我们穿上漂亮的保护外衣(牙医称“窝沟封闭”)。

我们不喜欢甜食和零食,会打扰我们美好的生活,亲爱的主人,如不好好保护我们,我们将会一步步走向毁灭。
第一步浅龋。
当我们身上有小黑点时,您毫不在意地说“没事的,没感觉。”牙医说:“龋病是以细菌为主的多种因素导致的牙齿硬组织发生慢性进行性破坏的一种疾病。已经开始浅龋即牙釉质龋,需要做药物治疗或填充治疗。”

第二步中龋。
当您吃糖时,感觉酸疼,您说:“没关系,不是很疼。”牙医却说:“这时病变已经破坏到牙本质浅层了,牙齿已经有龋洞形成,对酸甜食物敏感,需要做填充治疗。”

第三步深龋。
当您进食时,没法咬食物,您说:“还好,可以用另外一边牙齿咬。”牙医告诫说:“病变已经破坏到了牙本质深层,牙齿有较深的龋洞,温度刺激,化学刺激以及食物进入龋洞时引起疼痛,此时,及时做填充治疗的话还来得及保住牙髓。”

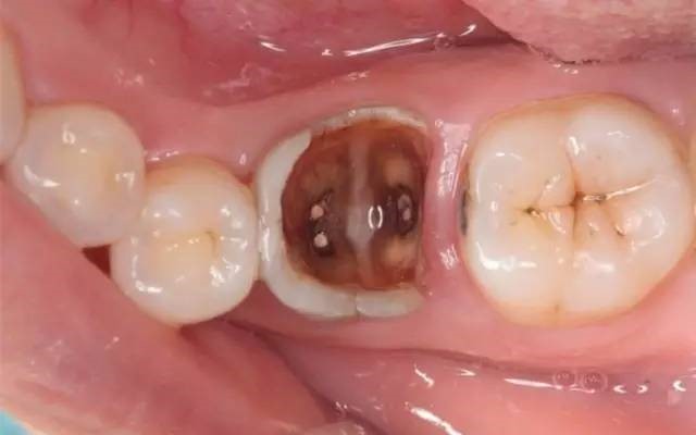
第四步急性牙髓炎。
当您昨晚一夜未眠,牙齿疼得撞墙时,您强忍着说:“吃一颗止痛药吧,再忍忍。”牙医劝您说:“当病变侵入牙髓组织,产生炎性渗出液,因而形成髓腔高压,引起剧烈疼痛。此时,开髓引流是缓解急性牙髓炎疼痛最有效的方法。”

第五步急性根尖周炎。
当您脸肿得睁不开眼睛时,您撑着眼睛说:“没什么大不了的,吃吃消炎药就好了。”医生却着急地说:“牙齿急性根尖周炎感染可能引起间隙感染,严重的会危及生命。此时,需要到正规口腔医院治疗患牙,配合药物治疗,必要时做脓肿切开引流术。”
第六步残冠残根。
当您发现牙齿一块块脱落,只剩下少量牙冠时,您略感惋惜地说:“就这样吧!估计没办法救了。”牙医却语重心长地说:“就目前医疗技术而言,做根管治疗后桩冠修复可以很好地保存残冠残根。”

第七步拔除。
当牙医告诉您牙齿必须拔除时,您嚎啕大哭“牙没了,我可怎么办啊?”这时,牙医安慰您说:“别怕!三个月就可以镶牙了。目前三种镶牙方式:种植牙、活动义齿、烤瓷桥,完全可以满足您的不同需求。”

傅氏口腔门诊成立于1993年,是市医保定点单位;由傅恭悌医生领衔创建,医疗团队全部由经验丰富的医生和口腔专科护士组成,专注为客户提供涵盖颜面美学、口腔健康学的全方位一体化医疗服务。
经过近三十年的发展,傅氏口腔已在丹溪北路与万达总部经济园开设门诊。傅氏以种植、正畸为核心特色,并同时设有儿童齿科、微创牙周、牙体牙髓、 美学修复等诊疗科室。严格执行消毒灭菌管理制度。先进的口腔诊疗设备,以及标准化口腔四手操作,为您的诊疗安全提供完善的保障。
傅氏口腔丹溪门诊:丹溪北路18号雪峰银座201室 预约电话:0579-85557255
傅氏口腔万达门诊:义乌市总部经济园A6幢201室 预约电话:0579-85557538
傅氏口腔儿牙中心:丹溪北路18号雪峰银座204室 预约电话:0579-89906639
客服:万达门诊18757954754(微信同号)
丹溪门诊17348813315(微信同号)
义乌傅氏口腔门诊部(丹溪门诊)医广号:浙医广〔2026〕第330782-0017号
义乌傅氏口腔门诊部(万达门诊)医广号:浙医广〔2026〕第330782-0016号