
你会刷牙吗?也许很多人都会毫不犹豫地回答“会”!但事实上,很多人都只是在假装刷牙。不信?来,看看大家都是怎么假装刷牙的,同时也来学学真正的刷牙方法巴氏刷牙法!
一、错误的刷牙方法。
1、刷不对:主要指横着刷,自我毁灭型选手,跟锯木头似的,木头被锯到最后可是会断的,只要你功夫深,牙齿也是会断的。

牙釉质损伤了,同时也会刺激牙龈。如果长时间的横向刷牙会造成牙颈部严重磨损,形成楔状缺损。对自己温柔一点,好吗?
2、刷不全:每颗牙齿有五个面,即唇侧、舌侧、咬合面及牙间隙的两个邻面。其中主要以唇侧为个人门面,有些人则不注意细节,只卖力刷四颗微笑露出最多的门牙部分。舌侧不刷可就这样了。


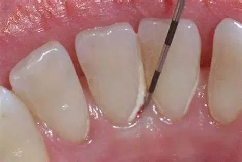
牙龈也是能刷的!

破坏口腔健康的最大凶手——牙菌斑可喜欢呆在接近牙龈的部位——龈沟,这道沟,可以说是所有牙周病的发源地。别怕牙龈流血,健康的牙龈是不会刷两下就流血的。牙龈周围脏了,牙龈就发炎了,发炎的牙龈就会容易出血。别因为牙龈出血而不敢刷牙龈,那样牙龈越来越脏,越脏越发炎……恶性循环!

刷干净后,牙龈消炎了,自然就不出血了,如果还是持续出血,可能就需要洗牙了。
3、刷不够时间:不要觉得刷牙时间长短无所谓。至少要刷够两分钟。当刷牙时产生大量泡沫,会使我们产生“刷得产不多了”的错觉。不要被过量的泡沫所蒙蔽。如果按照正确的方式刷牙,你会发现可能两分钟都不够刷。
4、只漱口:再强劲的漱口水、再功能强大的冲牙器都是不能代替刷牙的。

我们刷牙的目的是刷掉牙菌斑。细菌是像一块膜一样紧紧的黏在牙齿上,光冲一冲或漱漱口是去不掉的,必须用力摩擦摩擦。
二、到底怎么有效刷牙?
我们在这里推荐公认的巴氏刷牙法,教你标准刷牙姿势——Bass刷牙法!
三、什么样的牙刷最好使?
1、刷头短而窄:美国牙科协会建议,刷头长约2.54至3.18厘米,宽度0.79至095厘米最为合适。如果刷头过大,无法在口腔内自由转动,许多牙齿死角与口腔深处无法顾及。进不去、刷不到就会造成这些死角细菌斑堆积形成牙结石,进而引起牙周病。
2、软毛刷,还是硬毛刷?很多专家都会建议使用软毛刷,因为刷毛太硬,会很容易对牙齿和牙龈造成损伤,进而导致牙齿楔状缺损、牙龈出血等,尤其对牙齿刚刚长出的儿童和牙釉磨损严重的老人。
3、刷毛排列合理:我们在选购牙刷时,除了要注意刷毛的软硬程度外,刷毛的排列也是在选购牙刷时要注意的细节。据美国牙科协会建议,合理的刷毛排列,应该是两至四排,每排五至十二束,各束之间有一定的间距。这样刷牙时既有利于有效清除牙菌斑,又便于牙刷本身清洗。

4、牙刷柄:一把好的牙刷,在牙柄的处理上自然也是有讲究的。我们在选购牙刷时,最好选择牙柄防滑设计的。目前市面上防滑设计的牙刷主要有两种,分别是直线型和角度型的。临床研究表明,直线型使用时,用力不好掌握,而角度型更容易到达菌斑清除区域。一般刷柄与刷头的角度以17至20度为宜。
四、出现下面几种情况,就需要更换牙刷了。
1、牙刷根部颜色变深:牙刷根部的污垢会慢慢堆积,一旦发现牙刷根部颜色变深,就表明污垢积累较多,需要及时更换牙刷。
2、牙刷磨损变形:刷毛软塌,刷毛之间的距离明显变宽,使污垢更容易积淀在牙刷根部,出现这种情况时,最好立即更换牙刷。
3、感冒之后:一般感冒的周期在七天左右,但是感冒病毒的传染性会维持七至二十一天,即使感冒好了,感冒病毒也很有可能传播到牙刷上。因此,感冒初愈时,要及时更换牙刷,避免二次感染。
4、每三个月至少要更换一次牙刷:三个月是牙刷的最长寿命,因为牙刷长期处于潮湿状态,极易滋生细菌。有些人刷牙过后总会出现牙龈出血、牙龈肿痛的现象,其实很多是因为牙刷上的细菌繁殖对口腔造成的二次污染所造成的!
五、牙膏。
1、含氟牙膏到底好不好?不用怀疑,含氟牙膏一定是有好处的,《中国居民口腔健康指南》指出含氟牙膏对于预防龋齿(虫牙)是有效的。很多人担心长期使用含氟牙膏会导致氟斑牙,其实氟斑牙主要是在儿童生长发育期(六至八岁以内)摄入过量的氟才会影响到牙齿的发育,如果你已经成年了,那是没问题的。也就是说,成人使用含氟牙膏是没有问题的,但是因为孩子在刷牙过程中,容易误吞牙膏泡沫,所以三岁以下的儿童不建议使用含氟牙膏。
2、牙膏要经常更换品牌吗?长期使用同一种牙膏,可能会使一些有害的口腔病菌产生耐药性和抗药性,从而使牙膏失去作用。经常更换牙膏种类,能维护正常的口腔菌群,有利于牙齿健康。
3、刷牙前,牙膏要不要沾水?如果是用一般的牙膏,刷牙前沾不沾水影响不大;但如果用的是脱敏牙膏,那最好还是别沾水,以免破坏牙膏中的有效成分。有专家证明,脱敏牙膏的成分与普通牙膏不同,会在牙齿表面形成一个修复层,为避免破坏这个有效成分,用脱敏牙膏的时候还是不要把牙刷沾湿,将牙膏挤在干燥的牙刷上刷牙。
4、家人不要共用牙膏:有些家庭全家共用一支牙膏,殊不知,很多口腔疾病会因此交叉传染。共用同一支牙膏,如果其中一人感冒,或患有口腔疾病,在刷牙时,感冒病毒、口腔细菌很容易残留在牙刷毛缝中,在牙膏口与牙刷相互摩擦下,又会将病毒、细菌传播到其他人的牙刷上。所以,最好每个人都有自己的牙膏。
傅氏口腔门诊成立于1993年,是市医保定点单位;由傅恭悌医生领衔创建,医疗团队全部由经验丰富的医生和口腔专科护士组成,专注为客户提供涵盖颜面美学、口腔健康学的全方位一体化医疗服务。
经过近三十年的发展,傅氏口腔已在丹溪北路与万达总部经济园开设门诊。傅氏以种植、正畸为核心特色,并同时设有儿童齿科、微创牙周、牙体牙髓、 美学修复等诊疗科室。严格执行消毒灭菌管理制度。先进的口腔诊疗设备,以及标准化口腔四手操作,为您的诊疗安全提供完善的保障。
傅氏口腔丹溪门诊:丹溪北路18号雪峰银座201室 预约电话:0579-85557255
傅氏口腔万达门诊:义乌市总部经济园A6幢201室 预约电话:0579-85557538
傅氏口腔儿牙中心:丹溪北路18号雪峰银座204室 预约电话:0579-89906639
客服:万达门诊18757954754(微信同号)
丹溪门诊17348813315(微信同号)
义乌傅氏口腔门诊部(丹溪门诊)医广号:浙医广〔2026〕第330782-0017号
义乌傅氏口腔门诊部(万达门诊)医广号:浙医广〔2026〕第330782-0016号