
牙龈炎与牙周炎虽然只是一字之差,但是两者之间却有着本质的区别,相信广大患者们在和医生交流之前都是不了解的,现在就带大家一起来了解。
一、牙龈炎。
1、病因:由于牙龈炎病因明确,牙菌斑是发病的致病因素,且病变只局限在牙龈,因此,除去病因,消除菌斑,即可得到明显效果。
2、治疗方法:病情轻者,通常采用洗牙清除牙结石,控制菌斑。如发生牙龈增生,则需切除部分牙龈,恢复牙龈生理外形。

通过治疗,牙龈炎症消除和牙龈形态恢复后,为保持和巩固疗效,要坚持每天认真刷牙,养成良好的口腔卫生习惯。牙龈炎如果不治疗,任由其继续发展,细菌会侵犯深部牙周组织,发展为牙周炎。
二、牙周炎。
1、牙龈红肿出血:牙周炎主要表现为牙龈红肿、出血,不仅在刷牙时出血,有时在说话或者咬硬物时也会出血,有时可自发出血。

牙龈颜色暗红,由于水肿显得比较光亮。健康的牙龈,即使用力刷牙或轻探龈沟均不引起出血。而在初期和早期龈炎阶段,轻探龈沟即可出血。它比牙龈颜色的改变出现得早些,而且也较客观。故探诊出血,可作为诊断牙龈有无炎症的重要手段。

2、牙周袋形成:此外,还有牙周袋形成,在正常情况下,健康牙龈的龈沟深度不超过两毫米,超过两毫米则为牙周袋。牙周袋的形成,说明炎症已从牙龈发展到牙周组织,使较深层的牙周组织感染,慢性破坏,脓性分泌物可以从牙周袋溢出。

早期牙周炎不会导致牙齿松动,只有在慢性破坏性炎症发展到一定的程度,牙周组织支持力量大程度减弱时,才会导致牙齿松动。
3、牙龈萎缩:牙龈萎缩也是牙周炎的症状之一,但患者不易察觉。由于长时间受大量牙石的压迫,刺激牙龈。所以,龈缘外形出现水平式的退缩。至于老年性的牙周组织退缩,一般属于正常的生理退缩。一方面是因为牙周组织本身的退缩;另一方面是由于牙齿的磨耗而使牙齿继续萌出,形成牙根面暴露。由于牙根面的暴露,对冷、热、甜、酸食物或者机械性刺激,均有敏感的表现。

三、牙龈炎与牙周炎的区别。
1、牙龈炎仅仅是龈组织的炎症,出现红肿、点斑消失;而牙周炎不仅出现牙龈的炎症,还包括整个牙周组织的炎症。
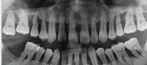
2、牙龈炎没有骨的破坏,所以X线片上没有骨吸收的情况。而牙周炎X线片上可见牙槽嵴的高度降低,呈水平型吸收,也可出现近牙根面的牙槽骨吸收,呈垂直或者角形骨吸收,这种骨的吸收,临床上表现为骨下袋。

3、牙龈炎不会导致牙齿松动,而牙周炎后期可出现牙齿移位和松动。
4、牙龈炎虽然由于牙龈红肿,可使龈沟加深,但牙龈炎不会形成牙周袋。而牙周炎由于牙龈纤维变性破坏、结合上皮向根方增殖而形成牙周袋。
当然,如果你没法判断自己是牙龈炎还是牙周炎,建议到专业口腔机构检查一下,医生会根据口腔情况提供具体的治疗措施。
傅氏口腔门诊成立于1993年,是市医保定点单位;由傅恭悌医生领衔创建,医疗团队全部由经验丰富的医生和口腔专科护士组成,专注为客户提供涵盖颜面美学、口腔健康学的全方位一体化医疗服务。
经过近三十年的发展,傅氏口腔已在丹溪北路与万达总部经济园开设门诊。傅氏以种植、正畸为核心特色,并同时设有儿童齿科、微创牙周、牙体牙髓、 美学修复等诊疗科室。严格执行消毒灭菌管理制度。先进的口腔诊疗设备,以及标准化口腔四手操作,为您的诊疗安全提供完善的保障。
傅氏口腔丹溪门诊:丹溪北路18号雪峰银座201室 预约电话:0579-85557255
傅氏口腔万达门诊:义乌市总部经济园A6幢201室 预约电话:0579-85557538
傅氏口腔儿牙中心:丹溪北路18号雪峰银座204室 预约电话:0579-89906639
客服:万达门诊18757954754(微信同号)
丹溪门诊17348813315(微信同号)
义乌傅氏口腔门诊部(丹溪门诊)医广号:浙医广〔2026〕第330782-0017号
义乌傅氏口腔门诊部(万达门诊)医广号:浙医广〔2026〕第330782-0016号