
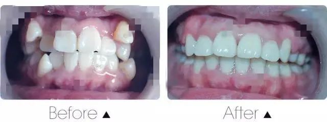
好看的牙齿千篇一律,不太完美的牙齿却各有各的风格:有的人牙齿拥挤,原本一排整整齐齐的牙齿非要挤成一堆;有的人天生牙齿疏松,牙齿和牙齿之间都是缝隙;还有的人门牙往前突出变成龅牙;也有的小伙伴地包天,下面的牙齿反过来包住了上面的牙齿……
牙齿不齐,不仅仅是美观的问题,也会带来其他口腔疾病。比如牙齿拥挤就会让牙齿之间的食物残渣不容易清洁,时间久了就很容易发生蛀牙、牙周炎,最终导致牙痛、牙齿松动、牙龈出血。
还有的畸形会影响咀嚼,由于咬合不正,还会造成面型的改变——基本上就是一个字:丑。这时就需要正畸治疗,也就是大家口中的牙齿矫正。但是牙齿矫正可不仅仅是为了提升颜值,一口好牙也是口腔健康的首要因素。

牙齿正畸的三大误区,你知道吗?
误区一:年龄大了不能矫正。
牙齿移动是成长过程中十分正常的事情,因此牙齿矫正老少皆宜。但不同个体存在的问题不一样,开始矫正的时机也不尽相同。是否可以矫正,应从专业的正畸医生处寻求答案。
误区二:牙齿矫正后会松动。
牙齿本身也不可能一辈子待在原地不动,而是处于稳定与移动的平衡中。矫正就是通过外力暂时打破这个平衡,为牙齿搬家。矫正带来牙齿生理性的移动,在移动过程中暂时有一定程度的松动很正常。当牙齿移动到新的位置上,自然又回归到平衡中,重新稳定下来。

误区三:牙齿矫正老了会掉牙。
很多人认为老掉牙是一个正常的生理现象,其实不然,健康的牙齿应伴随人终生。目前在我国,牙周炎已成为成年人缺失的首要原因。也就是说,所谓老掉牙主要是因为牙周炎导致牙齿松动脱落,而牙周炎的关键致病因素是口腔的菌斑微生物。是否患有牙周炎,与是否做过牙齿矫正无关。牙齿矫正能让你拥有一口好牙,帮你绽放笑容提升自信,远离口腔疾病。
看到这里,你可能会有疑问:那么,牙齿矫正的黄金年龄是多少岁?孩子太小能不能做正畸?四五十岁了,牙齿有缝,可不可以做正畸?为了解决你们的疑问,欢迎在下面留言找小编了解!
傅氏口腔门诊成立于1993年,是市医保定点单位;由傅恭悌医生领衔创建,医疗团队全部由经验丰富的医生和口腔专科护士组成,专注为客户提供涵盖颜面美学、口腔健康学的全方位一体化医疗服务。
经过近三十年的发展,傅氏口腔已在丹溪北路与万达总部经济园开设门诊。傅氏以种植、正畸为核心特色,并同时设有儿童齿科、微创牙周、牙体牙髓、 美学修复等诊疗科室。严格执行消毒灭菌管理制度。先进的口腔诊疗设备,以及标准化口腔四手操作,为您的诊疗安全提供完善的保障。
傅氏口腔丹溪门诊:丹溪北路18号雪峰银座201室 预约电话:0579-85557255
傅氏口腔万达门诊:义乌市总部经济园A6幢201室 预约电话:0579-85557538
傅氏口腔儿牙中心:丹溪北路18号雪峰银座204室 预约电话:0579-89906639
客服:万达门诊18757954754(微信同号)
丹溪门诊17348813315(微信同号)
义乌傅氏口腔门诊部(丹溪门诊)医广号:浙医广〔2026〕第330782-0017号
义乌傅氏口腔门诊部(万达门诊)医广号:浙医广〔2026〕第330782-0016号